YAZARLAR

BİZE ULAŞIN

Recep Demircan

Diğer Yazarlar

Suriye'den denize sızan petrol, Mersin sahillerine ulaştı: Teyakkuz halindeyiz

13-09-2021 12:46

Suriye'deki termik santralden 24 Ağustos'ta sızan petrol, Doğu Akdeniz'deki birçok sahile ulaştı. Mersin sahillerini de tehdit eden petrol atıklarına karşı ekipler, Tarsus Plajı'nda temizlik yaptı. Büyükşehir Belediyesi Çevre Koruma ve Kontrol Dairesi Başkanlığı Temizlik Şube Müdürü Vekili İbrahim Can "Sızan yaklaşık 15 bin ton yakıt, sahillerimizi tehdit altında bırakmaktadır" dedi.

Devamını Oku

16 yıl sonra karar! Türkiye güzeli Mahmure Birsen Sakaoğlu'nun mirası itfaiyecilerin

13-09-2021 11:34

Türkiye eski güzeli Mahmure Birsen Sakaoğlu’nun hayatını kaybetmeden önce hazırladığı vasiyetnamesinde 25 milyon TL’lik mirasını Fatih İtfaiyesi görevlilerine bırakmasına ilişkin davada gerekçeli karar açıklandı. Gerekçeli kararda "Bilirkişi raporu doğrultusunda tespit edilen itfaiye çalışanlarının açtığı vasiyetnamenin tenfizi davasının kabulüne karar verilerek, vasiyetinin yerine getirilmesine karar verilmiştir” ifadesine yer verildi.

Devamını Oku

Hapishaneden izinli çıktı, sebepsiz yere öldürdü! Akılalmaz olayla ilgili yeni gelişme

13-09-2021 11:20

İstanbul'da cinayetten 20 yıl hapis yattıktan sonra pandemi izniyle cezaevinden çıkıp Antalya'da güvenlik görevlisi Hakan Ökten'i tabancayla öldüren Mevlüt Koyuncu'nun ömür boyu hapsi istendi.

Devamını Oku

Türkiye'nin dört bir yanından Muş'a geliyorlar: Şifa değil mikrop saçıyor

13-09-2021 10:59

Muş'ta böbrek taşını erittiği ve şifalı olduğu iddia edilen suyun mikrop saçtığı tespit edilmesine rağmen, Türkiye'nin dört bir yanından bölgeye gelenler içmeye devam ediyor. Muş Devlet Hastanesi Enfeksiyon Hastalıkları ve Klinik Mikrobiyoloji Uzmanı Dr. Rıfat Somay "Muş'ta, böbrek taşını erittiği iddia edilen ve halk arasında şifalı olarak bilinen suyun, aslında mikrop ürettiği yapılan analizlerde saptanmıştır" dedi.

Devamını Oku

Demir eksikliğinde bu belirtilere dikkat: Toprak veya buz yeme isteği görülebilir

13-09-2021 10:46

Dünya nüfusunun 4’te 1’inde demir eksikliği bulunduğunu belirten Gastroenteroloji Uzmanı Doç. Dr. Özlem Mutluay Soyer, “Çocuklar, gebeler, doğurganlık çağındaki kadınlar ve yaşlılar demir eksikliği açısından risk taşımaktadırlar. Demir eksikliği olanlarda halsizlik, çabuk yorulma, nefes darlığı, çarpıntı, baş dönmesi, kulak çınlaması, saç dökülmesi görülebilmektedir” dedi. Ayrıca, Doç. Dr. Soyer, demir eksikliğinin görüldüğü kişilerde toprak veya buz yeme isteğinin görülebileceğini açıkladı.

Devamını Oku

Koronavirüs tablosunda korkutan gelişme! Son bir ayın en yükseği

13-09-2021 10:13

Türkiye'de yeni koronavirüs vaka sayısı hafta sonunda 24 bine yakın seviyelerden 21 bine doğru sınırlı gerilerken, günlük ölümler yüksek düzeyini sürdürdü. Günlük oynaklıkları azaltan yeni vakaların yedi günlük ortalaması ise 22 bin 885 ile yaklaşık bir ayın en yüksek seviyesinde gerçekleşti.

Devamını Oku

Koronavirüste belirtiler değişti! İşte en yaygın 5 semptom

13-09-2021 09:41

İngiltere'den koronavirüsle ilgili son gelen rapor hastalıkla belirtilerin değiştiğini ortaya koydu. Bilim insanları, aşı olanlara uyarıda bulunurken görülen en yaygın 5 semptomu açıkladı.

Devamını Oku

Vali Yerlikaya aşı olan servis şoförlerinin sayısını açıkladı

13-09-2021 09:12

Son dakika haberine göre İstanbul Valisi Ali Yerlikaya, kentteki servis şoförlerinin yüzde 94.2'sinin koronavirüs aşışlarını yaptırdığını açıkladı.

Devamını Oku

Ankara'daki kazayla ilgili kahreden detay! Sosyal medyadan paylaşmış

13-09-2021 08:55

Ankara’nın Etimesgut ilçesinde otomobil ile servis aracının kafa kafaya çarpışması sonucu 5 kişinin yaşamını yitirdiği meydana gelen kaza öncesinde Eren A.’nın, Baran B. ve Buğra Ö. ile beraber çekildiği fotoğrafı sosyal medya hesabından paylaştığı görüldü.

Devamını Oku

Saniye saniye görüntülendi! İstanbul'da otomobil motosiklete çarptı

13-09-2021 08:17

İstanbul Küçükçekmece'de şerit değiştiren motosiklete aynı yönde arkadan gelen otomobil çarptı. Çarpmanın etkisiyle motosiklet savrularak devrilirken, sürücüsü de yaralandı. Olay yerine gelen sağlık ekipleri yaralı motosiklet sürücüsüne ilk müdahaleyi yaparak en yakın hastaneye kaldırdı. Kaza anı ve sonrasında yaşananlar vatandaşların çektiği cep telefonu görüntülerine saniye saniye yansıdı.

Devamını Oku

Meteoroloji'den birçok il için yağmur uyarısı! Bu bölgelerde yaşayanlar dikkat (13 Eylül yurtta hava durumu)

13-09-2021 08:01

Meteoroloji Genel Müdürlüğü çok sayıda il için sağanak yağış uyarısında bulunurken yağışların bu sabah saatlerinde Hatay'ın merkez ve batı çevrelerinde yerel olarak kuvvetli olması bekleniyor. Meteoroloji, vatandaşları sel, su baskını, yıldırım, yağış anında kuvvetli rüzgar, ulaşımda aksamalar gibi olumsuzluklara karşı dikkatli ve tedbirli olması yönünde uyardı.

Devamını Oku

Yer: Bartın! Deniz üzerindeki cisim ekipleri harekete geçirdi

13-09-2021 07:35

Bartın’ın İnkumu Sahilinde vatandaşların bir cisim görüldüğü yönündeki ihbarı üzerine ekipler harekete geçti. Denizde dalgıçlar, kıyıda ise jandarma ekiplerince arama faaliyeti gerçekleştirildi.

Devamını Oku

İzmir'de düğün dönüşü feci kaza! 4 yaralı

13-09-2021 07:23

İzmir’in Bornova ilçesinde, düğün dönüşü sürücüsünün direksiyon hakimiyetini kaybettiği otomobil kaldırıma çaptıktan sonra şarampole yuvarlandı. Kazada yaralanan 4 kişi hastanelere kaldırılarak tedavi altına alındı.

Devamını Oku

Prof. Dr. Uğur Şahin'den dikkat çeken açıklama: Organların gençleştirilmesi mümkün olabilecek

12-09-2021 15:32

Almanya’da BioNTech şirketinin Üst Yöneticisi (CEO) ve kurucu ortağı Prof. Dr. Uğur Şahin, gelecekte, hasar görmüş organların gençleştirilmesinin mümkün olabileceğine inandığını söyledi. Prof. Dr. Şahin, "Bir bilim kurgu filmindeki gibi birdenbire yaşlı insanları genç insanlara dönüştüremezsiniz. Ancak belki hasar görmüş bir kalbin veya diğer hasarlı veya eski organların tamamen veya kısmen yaşlanma sürecini tersine çevirebilirsiniz" açıklamasını yaptı.

Devamını Oku

Neye uğradığını şaşırdı! Yolda yürürken üzerine demir düştü, ölümden döndü

12-09-2021 15:19

Çorum’un Sungurlu ilçesinde yolda yürürken kafasına inşaat demirleri düşen kadın ölümden döndü.

Devamını Oku

Sedanur'un ailesi konuştu: Sırf madde vermek için benim kızımı öldürüyor orada

12-09-2021 15:05

İstanbul Maltepe'de otel odasında ölü bulunan 23 yaşındaki Sedanur Şen'in babası İbrahim Şen, "Onu bile bile otel odasına götürüyor. Sırf madde vermek için benim kızımı öldürüyor orada. Kızım kendisi diyordu; 'Baba ben madde alırsam ölürüm. Doktorum bana asla alma, kullanma, geçecek bu demişti.' dedi." diye konuştu. Anne Sevinç Şen ise Kayınvalidem aradı, polis geldi dedi. Sonra karakola gittik beraber. Polisler birbirlerine bakıyorlar, nasıl söyleyeceklerini bilemediler." açıklamasını yaptı.

Devamını Oku

Restoranda müşteri bulup otelde fuhuş yapıyorlardı! Yakalandılar

12-09-2021 14:32

Trabzon'da restoranda müşteri bulup otelde fuhuş yapan 12’si yabancı uyruklu 15 kadın yakalandı, 2 işletmeci de gözaltına alındı.

Devamını Oku

Türkiye'de nadir görülüyor! Kara leylekler Sivas'ta ortaya çıktı

12-09-2021 14:24

Türkiye’de nadir olarak görülen kuş türleri arasında bulunan kara leylekler Sivas’ın Hafik ilçesinde görüntülendi.

Devamını Oku

CHP Buldan İlçe Yönetimi toplu istifa etti

12-09-2021 14:19

Denizli'de Cumhuriyet Halk Partisi (CHP) Buldan İlçe Yönetim Kurulu toplu istifa etti.

Devamını Oku

Bu tuzağa dikkat! Siber dolandırıcıların yeni hedefi doktorlar

12-09-2021 14:16

Pandemi döneminde popülerleşen doktorların sosyal medya hesapları, dolandırıcıların hedefi oldu. Ele geçirilen hesaplardaki takipçiler, doktorlar tarafından paylaşıldığını düşündüğü, kısa yoldan yüksek miktarda para kazanacağı yönündeki mesajlara ya da iletilere inanarak paralarını kaptırıyor.

Devamını Oku

Kan donduran olay! Annesini defalarca bıçakladı: Boğazını kesmiş

12-09-2021 13:46

İstanbul Bayrampaşa'da Haluk Sevinç, tartıştığı 80 yaşındaki annesi Yüksel Sevinç'i mutfaktan aldığı ekmek bıçağıyla öldürdü. Haluk Sevinç, cinayeti işledikten sonra karakola gidip "Annemi öldürdüm" diyerek teslim oldu.

Devamını Oku

Bakan Özer yüz yüze eğitimde 1 haftalık bilançoyu açıkladı: 198 derslikte eğitime ara verildi

12-09-2021 13:09

Milli Eğitim Bakanı Mahmut Özer, 6 Eylül'de başlayan yüz yüze eğitimde şu ana kadar 198 derslikte eğitime ara verildiğini belirterek "Milli Eğitim Bakanlığı olarak en son kapatılacak yerlerin okullar olduğu yönündeki irademiz aynen devam etmektedir" diye konuştu.

Devamını Oku

İstanbul'da korku dolu anlar! Lüks otomobilini yayaların üzerine sürdü

12-09-2021 12:54

İstanbul Ümraniye'de fastfood firması çalışanları ile tartışan bir otomobil sürücüsü, aracını iş yeri çalışanları ve yayaların üzerine sürdü. Yaşanan korku dolu anlar bir vatandaşın cep telefonu kamerasına yansıdı.

Devamını Oku

Son Dakika: Piyade Sözleşmeli Er Ömer Faruk Erdem şehit oldu! Kahreden detay ortaya çıktı

12-09-2021 12:37

Son dakika haberine göre Pençe-Şimşek bölgesinde üs bölgesine yönelik PKK'lı teröristlerce açılan taciz ateşinde bir askerin şehit olduğu bir askerin yaralandığı belirtildi. Piyade Sözleşmeli Er Ömer Faruk Erdem’in (23), acı haberi memleketi Konya'nın Akşehir ilçesindeki baba evine ulaştı. Şehit Erdem'in anne ve babasının ölümünden sonra kardeşleriyle birlikte babaannesinin yanında yaşadığı öğrenildi.

Devamını Oku

Bakan Çavuşoğlu: Mültecilerin ülkelerine döndürülmesi için çalışmalarımız var

12-09-2021 12:26

Dışişleri Bakanı Mevlüt Çavuşoğlu, Suriyeli mültecilerin ülkelerine döndürülmesi için komşu ülkeler olarak inisiyatif aldıklarını belirterek, "BM Mülteciler Yüksek Komiserliği'yle Suriyeliler başta olmak üzere mültecilerin ülkelerine döndürülmesi için çalışmalarımız var" dedi.

Devamını Oku

Şanlıurfa'da akıllara durgunluk veren olay! Yardım edip çay ikram ettiler

12-09-2021 12:15

Şanlıurfa’da "Dicle Elektrik (DEDAŞ) görevlisiyiz" diyen 3 kişi, mahallenin elektrik kablolarını çaldı. Hırsızları kurum çalışanı zanneden mahalle sakinleri ise, kabloları sökmelerine yardım edip çay ikram etti.

Devamını Oku

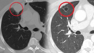
Dünya tıp literatüründe bir ilk! Koronavirüs akciğer kanserini taklit etti

12-09-2021 11:52

Kahramanmaraş'ta akciğer kanseri teşhisi konulan N.T.'nin koronavirüs testi pozitif çıktı. Ameliyat öncesi koronavirüs tedavisi gören N.T.'ye yapılan tetkikler sonucu koronavirüsün akciğer kanserini taklit ettiği tespit edildi. Sütçü İmam Üniversitesi Sağlık Uygulama ve Araştırma Hastanesi Göğüs Cerrahi Ana Bilim Dalı Öğretim Üyesi Dr. Fatoş Kozanlı, koronavirüsün akciğer kanserini taklit ettiğini ve bunun dünya tıp literatüründe bir ilk olduğunu söyledi.

Devamını Oku

FSM Köprüsü araçlara kapatıldı, TEM'de yoğun trafik oluştu

12-09-2021 11:45

Boğaziçi Triatlonu bisiklet etabı nedeniyle Fatih Sultan Mehmet Köprüsü 06.00 ile 10.00 arası trafiğe kapatıldı. Seyrantepe TEM Otoyolu'nda yoğun trafik oluştu.

Devamını Oku

12. sınıf öğrencisi 109 metreden ölüme atladı, ailesi kahroldu

12-09-2021 11:40

Antalya’nın Aksu ilçesinde bulunan EXPO 2016’nın 109 metre yüksekliğindeki kulesinden aşağı atlayarak feci şekilde can veren gencin cenazesi, morgdan teslim alındı. Olayın ardından hemen morga gelerek cenazeyi teslim alan anne ve babası ise yakınlarının kollarında ayakta durabildi.

Devamını Oku

Prof. Dr. Ceyhan'dan 'virüs' uyarısı: Bu sene ciddi bir şekilde artacak

12-09-2021 11:08

Prof. Dr. Mehmet Ceyhan, geçen yıl çok nadir görülen virüslerin bu sene ciddi bir şekilde artacağını söyledi. Prof. Dr. Ceyhan, "İki virüs de aynı anda vücutta bulunabilir, bunlardan biri hastalık yapabilir, diğeri de boğazda sadece çoğalabilir; ama aynı anda ikisi birden hastalık yapamaz. Grip sezonu başlayınca bunu muhtemelen yaşayacağız. Bu yıl grip artı koronavirüs vakalarını göreceğiz" dedi. Öte yandan Doç. Dr. Ümit Savaşçı, "Bu yıl grip aşısını önermeyebiliriz" açıklamasını yaptı.

Devamını Oku

Yer: Antalya! Göle giren turist yaka paça sudan çıkarıldı

12-09-2021 10:50

Antalya Manavgat'ta tatil yapan Rus turist Vitalii Marshev, girilmesi yasak olan Titreyengöl'e girdi. Uzun süre ikna çabalarına rağmen sudan çıkmayı reddeden Marshev'e daha sonra ekipler müdahale etti. Marshev güçlükle sudan çıkarıldı.

Devamını Oku

Sancaktepe'de metro inşaatında göçük: 1'i ağır 2 yaralı! Vatandaşlardan İBB'ye tepki

12-09-2021 10:34

İstanbul Sancaktepe’de Veysel Karani Mahallesi'nde yürütülen metro inşaatı sahasında göçük meydana geldi. Olayda 1’i ağır 2 işçi yaralanırken, mahalle sakinleri tedbirsiz ve önlemsiz çalışan İstanbul Büyükşehir Belediyesi yönetimine tepki gösterdi.

Devamını Oku

Rize bu hafta da birinci sırada! Vakalardaki artışın nedeni belli oldu

12-09-2021 10:26

Sağlık Bakanı Fahrettin Koca'nın paylaştığı güncel koronavirüs vaka haritasında nüfusa oranla en fazla vakanın görüldüğü Rize'de filyasyon ekipleri, vakaların yoğunlukla 'aile içi' bulaş kaynaklı olduğunu tespit etti.

Devamını Oku

İçişleri Bakanlığı duyurdu! Silahlarıyla etkisiz hale getirildiler

12-09-2021 10:11

İçişleri Bakanlığı, Diyarbakır'ın Lice ilçesi kırsalında düzenlenen operasyonla 2 teröristin etkisiz hale getirildiğini açıkladı.

Devamını Oku

Afyonkarahisar’da korkunç olay! Bacağını silaj makinesine kaptırdı

12-09-2021 10:06

Afyonkarahisar’da mısır hasadı yapılan tarlada bacağını mısır silaj makinesine kaptıran 40 yaşındaki adamın sol bacağı parçalandı. Talihsiz adamın ayağını kaptırdığı makineden AFAD ve 112 Acil servis ekipleri çıkardı.

Devamını Oku

Yargıtay'dan emsal karar! Yanlış konulan akaryakıttan hem istasyon hem de şirket sorumlu

12-09-2021 09:51

Yakıt almak için gittiği akaryakıt istasyonunda pompa görevlisinin araca dizel yerine benzin koymasıyla hayatının şokunu yaşayan sürücü, soluğu mahkemede aldı. Yıllar süren davada son sözü söyleyen Yargıtay, yanlışlıkla araca dizel yerine benzin konulması yüzünden doğacak zarardan bayi ile sağlayıcı şirketin müteselsilen sorumlu olduğuna hükmetti.

Devamını Oku

Erzincan'da can pazarı! Ekipler 2 genci kurtarmak için zamanla yarıştı

12-09-2021 09:34

Erzincan’da modifiye araçlarla drift gösterisini izlemek için sabahın erken saatlerinde yola çıkarak Ekşisu Mesire Alanına doğru giden, içerisinde 18 yaşında 2 gencin bulunduğu otomobil sulama kanalına düştü. Kazanın ardından adeta can pazarı yaşanırken gençleri kurtarmak için vatandaşlar ve ekipler zamanla yarıştı.

Devamını Oku

Konya'da tıp öğrencisinden 3 Eylül'den beri haber alınamıyor

12-09-2021 09:16

Konya’da Selçuk Üniversitesi Tıp Fakültesi öğrencisi olan Filistin uyruklu Muhammed Salhab'dan 3 Eylül'den beri haber alınamıyor. Polis olayla ilgili geniş çaplı soruşturma başlattı.

Devamını Oku

İstanbul'da yol tartışması! İmamoğlu'nun özel kalemiyim deyip dehşet saçtı, gerçek kimliği ortaya çıktı

12-09-2021 08:40

İstanbul Kağıthane'de 2 yaşındaki kızını eşiyle birlikte parka götüren psikolog Uğur Balkoca, Kağıthane İlçe Emniyet Müdürlüğü'nün yakınında İBB'ye bağlı olduğu iddia edilen bir otomobilin sürücüsü tarafından önce taciz edildi ardından da, saldırıya uğradı. Saldırganın "Ekrem İmamoğlu'nun özel kalemiyim" dediği aktarılırken o anlar saniye saniye telefonla kaydedildi. Öte yandan Balkoca'nın İBB'de psikolog, saldırganın ise İETT şoförü olduğu ortaya çıktı.

Devamını Oku

Meteoroloji'den kuvvetli yağış uyarısı! Bu bölgelerde yaşayanlar dikkat (12 Eylül yurtta hava durumu)

12-09-2021 08:08

Meteoroloji Genel Müdürlüğü'nün 12 Eylül verilerine göre Orta Akdeniz'in iç kesimleri (Toroslar Mevkii), Doğu Karadeniz kıyıları, Osmaniye, Ordu, Artvin ve Ardahan ile Hatay'ın kıyı, Kahramanmaraş'ın batı ve Samsun'un doğu ilçelerinde sağanak yağış bekleniyor.

Devamını Oku

İsrail'den Gazze'ye hava saldırısı

12-09-2021 07:55

İsrail savaş uçaklarının, abluka altındaki Gazze Şeridi'nde çeşitli noktalara hava saldırısı düzenlediği belirtildi.

Devamını Oku

Çip krizi Toyota'yı vurdu! Araç üretimini düşürüyor

12-09-2021 07:48

Toyota Motor, yeni tip koronavirüs (Kovid-19) etkisi ile yarı iletken çip tedarik problemi sebebiyle mevcut mali yıl küresel araç üretimini düşürecek.

Devamını Oku

ABD'de 13 goril koronavirüse yakalandı

12-09-2021 07:30

ABD'de bir hayvanat bahçesinde 13 gorilin koronavirüs testi pozitif çıktı.

Devamını Oku

İzmir'de feci kaza! Otomobil yön levhasına ok gibi saplandı

12-09-2021 07:24

İzmir Gaziemir'de sürücüsünün direksiyon hakimiyetini kaybettiği otomobil yön levhasına ok gibi saplandı. Kazada yaralanan 2 kişi kaldırıldıkları hastanede tedavi altına alındı.

Devamını Oku

Son Dakika: Cumhurbaşkanı Erdoğan'dan Meral Akşener'e 'Fatih benzetmesi' tepkisi

10-09-2021 15:39

Son dakika haberine göre Cumhurbaşkanı Recep Tayyip Erdoğan, İYİ Parti Genel Başkanı Meral Akşener'e sert tepki göstererek "Meral Hanım sen kimi, kime benzetiyorsun? Gezi Parkı olaylarında, Bizans olaylarını yaşayanlarla beraber yürüyorsun. Fatih kim, sizler kim?" açıklamasını yaptı.

Devamını Oku