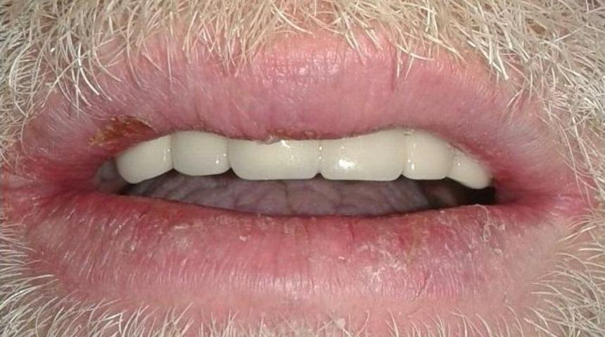
Şanlıurfa’da dişleri tamamen çürüyen hastaya hekimler tarafından yapılan operasyonla yeni dişler takıldı.Şanlıurfa Kamu Hastaneleri Birliği Genel Sekreterliğine bağlı Karaköprü Ağız ve Diş Sağlığı Merkezi Diş polikliniğine başvuran 27 yaşındaki hastanın yapılan muayene ve röntgen sonucu olarak hastanın tüm dişlerinin çürüdüğü, sadece bir kısmının köklerinin ağızda kaldığı ve bir kısmının da iltihaplı olduğu tespit edildi. Hasta tedavi sonrası sağlığına kavuştu.Karaköprü Ağız ve Diş Sağlığı Merkezi Başhekimi Ömer Ufuk Yetkin, “Merkezimizde diş rahatsızlığı ile ilgili olarak her türlü tedavinin yapıldığını, en son modern cihazlarla Şanlıurfa halkının hizmetinde olduğunu belirterek Şanlıurfa’da ilk defa böyle uzun süren tedavi sonrası sağlığına kavuşan ve sonucunda üst çene ful ağız porselen takılarak hastanın normal yaşamına devam etmesi sağlandı” dedi.Yetkin, uzun süren ve sabır isteyen tedavi sonrası sağlığına kavuşan hastanın kendilerine teşekkür ettiğini söyleyerek, “Diş, mine, dentin ve diş özü tabakalarından oluşur. Diş özü tabakasının içinde ayrıca sıcağa, soğuğa ve ağrıya hassas duyu sinirleri ve kan damarları bulunur. Besinlerin mekanik ve kimyasal sindirimi ağızda başlar. Dişler sayesinde parçalanan besinler tükürük yardımıyla kimyasal sindirimi başlatır. Bu yüzden ağızda, dişte ve diş etinde olabilecek olumsuzluklar önce sindirim olayının olumsuz etkilenmesine yol açar. Dişler sadece çiğnemede değil sesleri düzgün çıkarmada da önemli bir yer tutar. Dişleri eksik olan bir kişinin düzgün konuşamadığı açıktır. Aynı zamanda güzel bir dış görünüm için de dişler önemli bir yer tutmaktadır” şeklinde konuştu. 
Anadolu Ajansı ve İHA tarafından yayınlanan yurt haberleri Mynet.com editörlerinin hiçbir müdahalesi olmadan, sözkonusu ajansların yayınladığı şekliyle mynet sayfalarında yer almaktadır. Yazım hatası, hatalı bilgi ve örtülü reklam yer alan haberlerin hukuki muhatabı, haberi servis eden ajanslardır. Haberle ilgili şikayetleriniz için bize ulaşabilirsiniz