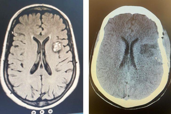
Balıkesir Üniversitesi Hastanesi, Balıkesir ve çevresine sunduğu nitelikli sağlık hizmetleri ile bölgede sağlık alanında önemli bir merkez olarak faaliyetlerini sürdürüyor. Hastanede farklı birimler bünyesinde gerçekleştirilen, “Balıkesir’de ilk” niteliği taşıyan işlemlere bir yenisi de Beyin ve Sinir Cerrahisi Anabilim Dalı öğretim üyelerince eklendi. MR incelemesinde beynin sol tarafında “kavernom” adı verilen beyin damar yumakçığı tespit edilen hasta, Doç. Dr. Utku Adilay ve Dr. Öğr. Üyesi Salim Katar tarafından ameliyat edildi.
Gerçekleştirilen ameliyatla ilgili bilgiler veren Beyin ve Sinir Cerrahisi Anabilim Dalı Başkanı Doç. Dr. Utku Adilay, boyun, baş ve çenede kasılmalar ile karakterize sara nöbeti şikâyetiyle başvurduğu hastaneden, üniversite hastanesine yönlendirilen 49 yaşındaki yabancı uyruklu hastanın beyin MR incelemesinde, beyninin sol tarafında kavernom adı verilen beyin damar yumakçığı tespit edildiğini belirterek, ameliyatının da klinik bünyesinde nöronavigasyon sistemi ile başarıyla gerçekleştirildiğini belirtti. Adilay, yapılan ameliyatın üniversite hastanesi ve Balıkesir için bir ilk olma niteliği taşıdığını sözlerine ekledi.
Gerçekleştirdikleri operasyonun detaylarını anlatan Beyin ve Sinir Cerrahisi Anabilim Dalından Dr. Öğr. Üyesi Salim Katar da “Genellikle beyinde, nadiren de omurilikte yerleşen damarsal bir bozukluk olan kavernom ya da kavernöz hemanjiom dediğimiz lezyonlar, beyin kanamasına ve epileptik nöbetlere neden olabilirler. Hastamızda olduğu gibi ilaçlarla engellenemeyen nöbetler varsa veya ilaçların yan etkileri rahatsız edici derecede ise cerrahi işleme gerek duyulur. Genellikle önerilen tedavi yolu kraniotomi denilen ameliyat yöntemidir. Beyin ameliyatlarında en kritik noktalardan birisi, normal beyin dokusuna zarar vermeden en güvenli ve kısa yoldan beyin lezyonunu olabildiğince tama yakın çıkarabilmektir. Beynin derininde yerleşmiş tümör ve damar yumağı gibi lezyonların ameliyatında bu durum daha da önem kazanır. Hastamızda olduğu gibi derin yerleşimli kavernom gibi vakalarda önemli husus, damar yumağını beyne zarar vermeden en kısa ve güvenli yoldan bulmaktır. ‘Nöronavigasyon Sistemi’ beyinde hedeflediğimiz bir bölgeye hata payını en aza indirecek şekilde ulaşmamızı sağlayan ve son yıllarda kullanıma giren yüksek teknolojili, ameliyatlara yardımcı bir sistemdir. Bu tip durumlarda nöronavigasyon, ameliyat güvenliğini ve konforunu arttıran cerrahiye yardımcı bir yöntemdir. Üniversite hastanemizde gerekli olduğunu düşündüğümüz vakalarda, kritik alanlarda ve derin yerleşimli tümörlerde ve kavernomlarda, nöronavigasyon sistemini başarı ile kullanmaktayız. Sonuç olarak hastadaki kavernom, total olarak çıkarıldı. Şu an hastamızın genel durumu çok iyi, nöbetleri kesildi ve herhangi bir şikâyeti yok” şeklinde konuştu.
Ameliyatı gerçekleştirilen hasta ve hasta yakınları da tedavi süreci dolayısıyla memnuniyetlerini ifade ederek kendileriyle yakından ilgilenen hekimlere ve hastane personeline teşekkür etti.
Anadolu Ajansı ve İHA tarafından yayınlanan yurt haberleri Mynet.com editörlerinin hiçbir müdahalesi olmadan, sözkonusu ajansların yayınladığı şekliyle mynet sayfalarında yer almaktadır. Yazım hatası, hatalı bilgi ve örtülü reklam yer alan haberlerin hukuki muhatabı, haberi servis eden ajanslardır. Haberle ilgili şikayetleriniz için bize ulaşabilirsiniz