YURTHABER

Kapat

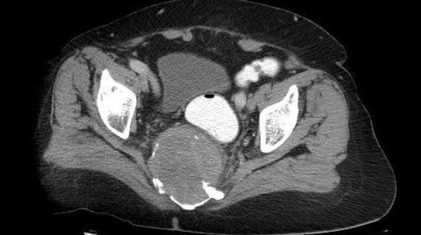
Bel Fıtığı Şikayetiyle Gittiği Hastanede Oturak Kemiğinde 10 Santimetrelik Tümör Çıktı

Denizli’nin Pamukkale ilçesinde bel fıtığı şikayetiyle doktora giden kadının oturak kemiğinde 10 santimetrelik tümör tespit...

Bel Fıtığı Şikayetiyle Gittiği Hastanede Oturak Kemiğinde 10 Santimetrelik Tümör Çıktı

Denizli’nin Pamukkale ilçesinde bel fıtığı şikayetiyle doktora giden kadının oturak kemiğinde 10 santimetrelik tümör tespit edildi. Kadın ameliyatla sağlığına kavuştu.Denizli’nin Pamukkale ilçesinde ikamet eden ve 17 yıl önce rahim kanserini yenen 64 yaşındaki Mürüvvet Akbulut, yıllardır çektiği bel fıtığı ağrısı şikayetiyle doktora gitti. Düzeli olarak doktorları tarafından takip altında olan Akbulut, günlük hayatını sürdüremez hale gelince, tekrar Beyin ve Sinir Cerrahisi Uzmanı Prof. Dr. Erdal Coşkon’a başvurdu. Doktorun yaptığı tetkikler sonucu Akbulut’un vücudunda, nadir görülen bir tümörün olduğu fark edildi. Tümörün, omuriliği sıkıştırdığı, oturak kemiği duvarınını erittiği, ön taraftan karnın içine doğru gelerek bağırsakları öne doğru ittiği belirtildi. Yapılan 5 saatlik ameliyat sonucunda beli ile oturak kemiği (sakrum) arasında yerleşmiş tümör alındı.Hastanın beş gün boyunca kontrol altında tutulduğunu belirten Prof. Dr. Erdal Coşkun, "Vücudunda bu tür kitle oluşan ve rahatsızlanan hastalarımız genelde şifayı büyük şehirlerde aramaktadırlar. Hastaların cerrahi operasyonlarının yanı sıra kontrolleri ve hasta takibi de önemli olduğu için farklı şehirlerde uzun süre kalmak hastalar için fiziki yorgunluğa ve eziyete neden olmaktadır. Biz bu operasyon ile bu tür rahatsızlıklar yaşayan hastalarımıza ekip ruhu ve teknik altyapı ile kendilerine yardımcı olabileceğimizi ve şifa bulabileceklerini göstermeye çalıştık" dedi.Ağrılar nedeniyle büyük bir eziyet çektiğini belirten Mürüvvet Akbulut, tümörün alınmasıyla rahatladığını söyledi. Akbulut, emeği geçenlere teşekkür etti.

Anadolu Ajansı ve İHA tarafından yayınlanan yurt haberleri Mynet.com editörlerinin hiçbir müdahalesi olmadan, sözkonusu ajansların yayınladığı şekliyle mynet sayfalarında yer almaktadır. Yazım hatası, hatalı bilgi ve örtülü reklam yer alan haberlerin hukuki muhatabı, haberi servis eden ajanslardır. Haberle ilgili şikayetleriniz için bize ulaşabilirsiniz

En Çok Aranan Haberler

Kapat