YURTHABER

Kapat

Trabzon'da, "kapalı kunduracı göğsü ameliyatı" olan hasta sağlığına kavuştu

Trabzon'da, "kapalı kunduracı göğsü ameliyatı" olan hasta sağlığına kavuştu

Trabzon'da, halk arasında "kunduracı göğsü" olarak bilinen Pektus Ekscavatum hastalığı ile mücadele eden Hamza Suiçmez, 2 saat süren ameliyatın ardından sağlığına kavuştu.

Karadeniz Teknik Üniversitesi (KTÜ) Farabi Hastanesinden yapılan açıklamaya göre, erken yorulma, çarpıntı, göğüs duvarında şekil bozukluğu ve şekil bozukluğu kaynaklı psikolojik olarak kendini sosyal çevresinden kısıtlama şikayetleri bulunan 26 yaşındaki Hamza Suiçmez, hastaneye müracaat etti.

Suiçmez'e, yapılan tetkikler neticesinde halk arasında "kunduracı göğsü" olarak da bilinen Pektus Ekscavatum hastalığı tanısı konuldu.

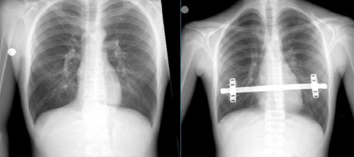
Erken yorulma ve çarpıntı şikayetlerinin, içeri doğru basık olan iman tahtasının kalp üzerine baskı yapmasından kaynaklandığı anlaşılan hasta, KTÜ Farabi Hastanesi Başhekimi ve Göğüs Cerrahisi Anabilim Dalı Başkanı Prof. Dr. Celal Tekinbaş ve ekibi tarafından ameliyat edildi.

"Kapalı kunduracı göğsü ameliyatı (NUSS)" uygulanmasının ardından sağlığına kavuşan Suiçmez, şikayetlerinin artık olmadığını ve en önemlisi de kendisini daha özgüvenli ve sosyal hissettiğini belirtti.

Prof. Dr. Celal Tekinbaş ise "kunduracı göğsü" olarak da bilinen hastalığın göğüs duvarı deformitesi olduğuna dikkati çekerek, hastalığın belirtileri, nedenleri, teşhisi ve tedavisine ilişkin bilgi aktardı.

Trabzon'da, "kapalı kunduracı göğsü ameliyatı" olan hasta sağlığına kavuştu

Trabzon'da, "kapalı kunduracı göğsü ameliyatı" olan hasta sağlığına kavuştu

Anadolu Ajansı ve İHA tarafından yayınlanan yurt haberleri Mynet.com editörlerinin hiçbir müdahalesi olmadan, sözkonusu ajansların yayınladığı şekliyle mynet sayfalarında yer almaktadır. Yazım hatası, hatalı bilgi ve örtülü reklam yer alan haberlerin hukuki muhatabı, haberi servis eden ajanslardır. Haberle ilgili şikayetleriniz için bize ulaşabilirsiniz

En Çok Aranan Haberler

Kapat