YURTHABER

Kapat

Yemek Borusuna Takılı Anahtar Parçası Bulundu

Şanlıurfa'da 1,5 yaşındaki bir çocuk kapı anahtarının büyük parçasını yuttu. Yemek borusuna takılı kalan anahtar...

Yemek Borusuna Takılı Anahtar Parçası Bulundu

Şanlıurfa'da 1,5 yaşındaki bir çocuk kapı anahtarının büyük parçasını yuttu. Yemek borusuna takılı kalan anahtar parçası operasyonla alındı.

Şanlıurfa'nın Ekinözü ilçesine bağlı Soysallı köyünde Hatice ve Sefa Balıkçı ailesinin ikinci çocuğu Üzeyir Balıkçı, annesinden uzakta oyun oynarken çevrede bulduğu kapı anahtarının kırık parçasını yuttu.
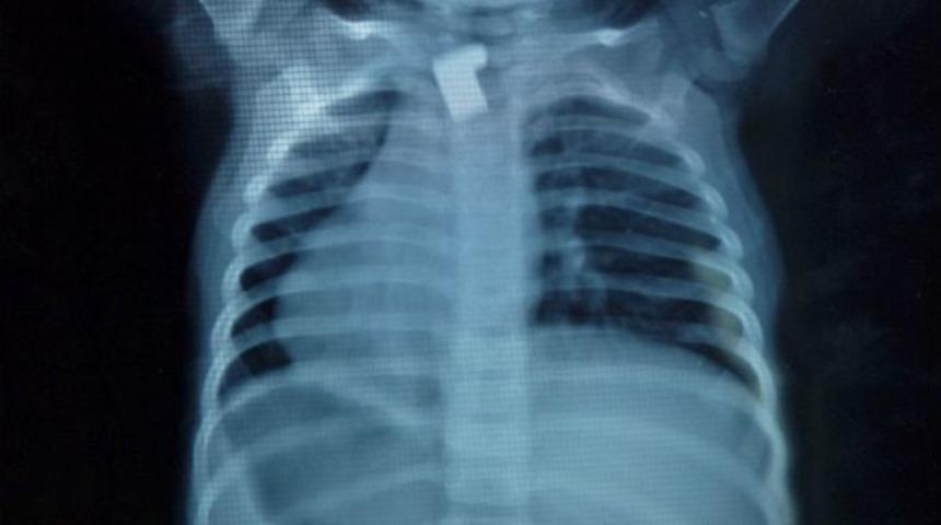
Kardeşinin haber vermesiyle durumdan haberdar olan aile, çocuğu hemen Elbistan Devlet Hastanesi Ana Çocuk Sağlığı Merkezi’ne getirdi. Hastanenin Çocuk Hastalıkları Uzmanı Opr. Dr. Ünal Adıgüzel, küçük çocuğun filminin çekilmesini istedi. Çekilen filmde çocuğun boğazında anahtar parçası olduğu görüldü. Yapılan tahlillerin ardından çocuk ameliyata alındı. Yaklaşık 20 dakika süren bir operasyonda özel aletler marifetiyle anahtar parçası çıkarıldı. Hastanede kontrol altında tutulan Üzeyir Balıkçı, öğle saatlerinde taburcu edildi.

Opr. Dr. Ünal Adıgüzel, “Hastamız 1,5 yaşında. Kırık bir anahtar parçasını, anahtarın uç kısmını yutma şikayetiyle müracaat etti. Çektiğimiz filmde anahtar parçasının yemek borusuna takılı olduğunu tespit ettik. Operasyonla yemek borusundan çıkarttık.” dedi.

5 YAŞ ALTINDA CİDDİ SONUÇLAR DOĞURUYOR

Dr. Ünal Adıgüzel, boğazdaki yabancı maddelerin ölümcül sonuçlar doğurabileceğini belirtti. Adıgüzel, “Bu durum özellikle 5 yaş altında çok sık görülen bir şey. 5 yaş altı çocuklar etrafına, yeni şeyleri tanımaya çok meraklı olduğu için, gördükleri objelerin hepsini ağzına götürmek isterler. Bu da böyle bir vaka. Bu türlü obje yemek borusuna takılmış. Yemek borusundan çıkarttık. Daha tehlikeli durum, solunum yollarına kaçabilirdi. Solunum yoluna kaçsa çok daha ciddi durumlara neden olabilir. Yemek borusunda kalması durumunda hasta beslenemez. Uzun süre kalması durumunda yemek borusunda delinmeler, ilerisinde de ölüm gibi netice doğurabilir. Operasyonumuz yaklaşık 20 dakika sürdü. Genel anestezi altında hastayı uyutarak üst kısımda kalmış yabancı cismi çıkarttık.” şeklinde konuştu.

Anne Hatice Balıkçı diğer çocuğu tarafından fark edilen durumun hastanede açığa çıktığını belirtti. Balıkçı, olayı şöyle anlattı: “Ben aşağıdaydım. Kardeşiyle beraber oynuyorlardı. Ondan sonra büyük olanı ağladı, eve geldim. Anne anahtar yuttu dedi. Ben önce fark etmedim. Çünkü ağlamıyordu hiç. Sonra babasını çağırdık. Geldi, evde baktık, çocukta hiçbir şey yoktu. Tekrar anahtarın ucuna baktık, yani çocuk mu yanlış şey yaptı diye. Sonra buraya getirdik. Eşim ‘götürelim bir film çektirelim’ dedi. Buraya getirdik. Filmini çektirdiler. Ondan sonra ortaya çıktı. Doktor bey ameliyata aldı, çıkarttılar. 10-15 dakika sürdü.

Anadolu Ajansı ve İHA tarafından yayınlanan yurt haberleri Mynet.com editörlerinin hiçbir müdahalesi olmadan, sözkonusu ajansların yayınladığı şekliyle mynet sayfalarında yer almaktadır. Yazım hatası, hatalı bilgi ve örtülü reklam yer alan haberlerin hukuki muhatabı, haberi servis eden ajanslardır. Haberle ilgili şikayetleriniz için bize ulaşabilirsiniz

En Çok Aranan Haberler

Kapat