YURTHABER

Kapat

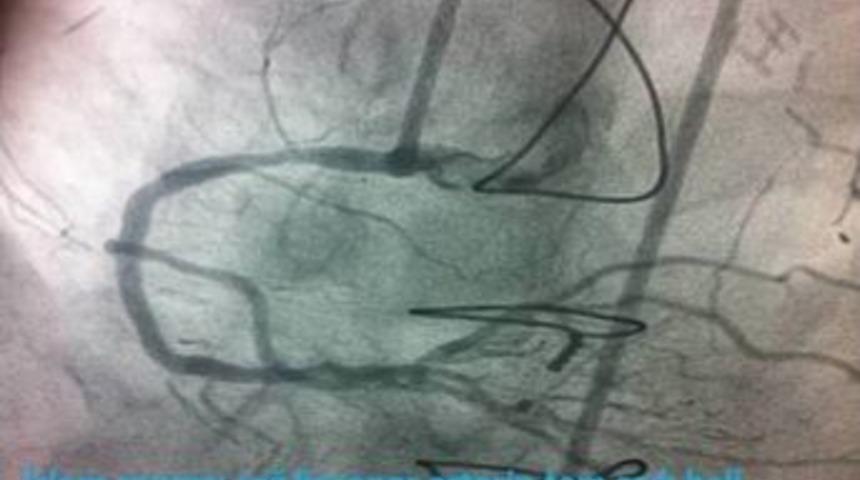
BAÜ'de Tam Tıkalı Kalp Damarına Ameliyatsız Müdahale Edildi

Balıkesir Üniversitesi (BAÜ) Sağlık Uygulama ve Araştırma Hastanesi'nde uzun dönem yüzde 100 tıkalı kalan koroner...

BAÜ'de Tam Tıkalı Kalp Damarına Ameliyatsız Müdahale Edildi

Balıkesir Üniversitesi (BAÜ) Sağlık Uygulama ve Araştırma Hastanesi'nde uzun dönem yüzde 100 tıkalı kalan koroner kalp damarı ameliyatsız bir şekilde açıldı.

Kardiyoloji Anabilim Dalı öğretim üyeleri Yrd. Doç. Dr. Erkan Ayhan ve Yrd. Doç. Dr. Turgay Işık, tarafından gerçekleştirilen işlem, ameliyat gereksinimi olmadan klinikte başarılı bir şekilde uygulandı.
Sağlık Uygulama ve Araştırma Hastanesi Kardiyoloji Anabilim Dalı öğretim üyes Yrd. Doç. Dr. Ayhan, Türkiye'de belirli kalp merkezlerinde uygulanan işlemin, Balıkesir'de ilk kez üniversite hastanesinde uygulandığını söyledi. Bu işlemin uzun dönem koroner damarları tam tıkalı kaldığı halde canlılığını korumuş kalp dokusuna sahip bireylerde yapıldığını bildirdi.

Hastalarda inatçı göğüs ağrısı gibi yakınmaları gidermeye faydalı olan bu yöntemin, bilinen stent işleminden farklılıkları olduğuna işaret eden Ayhan, hastaya genel anestezi verilmediğini ve hastanede kalış süresinin operasyona göre daha kısa olduğunu vurguladı. Hastaların fazla vakit kaybetmeden bu işlemi yapan kliniklere başvurmasının önemine değindi.

Anadolu Ajansı ve İHA tarafından yayınlanan yurt haberleri Mynet.com editörlerinin hiçbir müdahalesi olmadan, sözkonusu ajansların yayınladığı şekliyle mynet sayfalarında yer almaktadır. Yazım hatası, hatalı bilgi ve örtülü reklam yer alan haberlerin hukuki muhatabı, haberi servis eden ajanslardır. Haberle ilgili şikayetleriniz için bize ulaşabilirsiniz

En Çok Aranan Haberler

Kapat