YURTHABER

Kapat

Ağrı'da bir yolcunun midesindeki kapsüllerde 1 kilo 126 gram uyuşturucu ele geçirildi

İran uyruklu zanlı tutuklandı

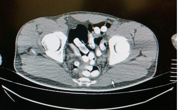
Ağrı'da, mide ve bağırsaklarında 102 kapsül halinde 1 kilo 126 gram Afyon sakızı taşıdığı belirlenen İran uyruklu yolcu tutuklandı.

İl Emniyet Müdürlüğü Narkotik Suçlarla Mücadele Şube Müdürlüğü ekipleri, Ağrı-Erzurum kara yolundaki uygulama noktasında bir yolcu otobüsünü durdurdu.

Ekipler, şüphe üzerine üst araması yaptıkları İran uyruklu Mehran N'nin midesinde şişlik olduğunu fark etti.

Gözaltına alınarak Ağrı Eğitim ve Araştırma Hastanesi'ne götürülen şüphelinin çekilen röntgeninde mide ve bağırsaklarında uyuşturucu olan kapsüller bulunduğu belirlendi. Mehran N'nin mide ve bağırsaklarında, 102 kapsül halinde 1 kilo 126 gram Afyon sakızı bulundu.

Adliyeye sevk edilen zanlı, çıkarıldığı sulh ceza hakimliğince tutuklandı.

Ağrı'da bir yolcunun midesindeki kapsüllerde 1 kilo 126 gram uyuşturucu ele geçirildi

- İran uyruklu zanlı tutuklandı

Anadolu Ajansı ve İHA tarafından yayınlanan yurt haberleri Mynet.com editörlerinin hiçbir müdahalesi olmadan, sözkonusu ajansların yayınladığı şekliyle mynet sayfalarında yer almaktadır. Yazım hatası, hatalı bilgi ve örtülü reklam yer alan haberlerin hukuki muhatabı, haberi servis eden ajanslardır. Haberle ilgili şikayetleriniz için bize ulaşabilirsiniz

En Çok Aranan Haberler

Kapat