Mynet Trend

Kapat

Kanserden şüpheleniyorlardı, akciğerinden böcek çıktı!

Elazığ'da, göğüs ağrısı ve öksürük şikayetiyle gittiği hastanede kanser şüphesiyle operasyon geçiren 37 yaşındaki Mehmet Topuz'un sağ akciğerinden böcek çıktı. Operasyonla ilgili konuşan Dr. Murat Kılıç, "Böceğin etrafının hücreler tarafından adeta mumyalandığı ve daha sonra çevresindeki dokunun kalınlaşmasıyla tümoral dokuya dönüştüğü belirlendi. Karşılaştığımız bu durum, özellikle akciğer tümörleri açısından tıp literatüründe karşılaşılabilecek çok ender bir durum." dedi.

Kanserden şüpheleniyorlardı, akciğerinden böcek çıktı!

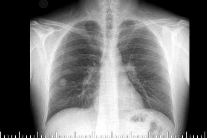
Elazığ Fethi Sekin Şehir Hastanesi Göğüs Cerrahisi Polikliniğine göğüs ağrısı ve öksürük şikayetiyle başvuran Topuz'un çekilen tomografisinde, sağ akciğer orta lobunda 2 santimetre büyüklüğünde tümör olduğu tespit edildi.

Hastanın yapılan takibinde akciğerindeki tümörün büyüdüğünün gözlenmesi üzerine, kanserli hücre olabileceği şüphelenilen doku operasyonla alındı.

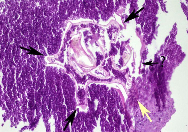
Patolojiye gönderilen tümörün mikroskobik incelemesinde, orta kısmında bir böcek olduğu belirlendi.

Sağ akciğerindeki tümöre böceğin sebep olduğunu öğrenince büyük şaşkınlık yaşayan Topuz'un doktorları, ender rastlanabilecek bu durumla ilgili uluslararası makale yayınlamaya hazırlanıyor.

KANSERE YAKALANDIĞINI SANIYORDU

Topuz, AA muhabirine yaptığı açıklamada, yaklaşık 6 ay önce şikayetleri nedeniyle çeşitli hastanelere gittiğini, son olarak Şehir Hastanesine başvurduğunu söyledi.

Burada yapılan muayene ve çekilen tomografisi sonucunda sağ akciğerde tümör olduğunu öğrendiğini, kanser olabileceği şüphesiyle büyük üzüntü yaşadığını anlatan Topuz, şöyle konuştu:

"Bu süreçte akciğerimdeki tümörün alınması gerektiğini söylediler. Doktorum bana çok yardımcı oldu. Çok şükür kanser değilmişim, alınan parçanın içinden böcek çıkınca enteresan bir durum oldu. Şu an mutluyum. Doktorum gerekeni yaptı, Allah razı olsun kendisinden."

Hastanede görevli Dr. Murat Kılıç da Topuz'un şikayetleri üzerine sağ akciğerinde 2 santimetre büyüklüğünde tümör tespit ettiklerini dile getirerek, "Kitlenin boyutunda büyüme tespit edilmesi üzerine hastaya cerrahi tedavi önerdik. Sağ akciğer orta lobunda bulunan tümöral doku çıkarıldı." dedi.

'BÖCEĞİN ETRAFI ADETA MUMYALANMIŞ'

Operasyonla alınan tümörlü dokuyu tanımlanması için patolojik incelemeye gönderdiklerini aktaran Kılıç, sözlerini şöyle sürdürdü:

"Hastamızdan alınan dokunun patolojik incelemesinde tümörün orta kısmında daha önceden soluk borusuyla akciğerine kaçmış olan bir böceğin kalıntısı tespit edildi. Böceğin etrafının hücreler tarafından adeta mumyalandığı ve daha sonra çevresindeki dokunun kalınlaşmasıyla tümoral dokuya dönüştüğü belirlendi. Karşılaştığımız bu durum, özellikle akciğer tümörleri açısından tıp literatüründe karşılaşılabilecek çok ender bir durum."

BÖCEĞİN TÜRÜ TESPİT EDİLECEK

Kılıç, karşılaştıkları durumun bugüne kadar benzer bir vaka olmaması açısından büyük önem arz ettiğini vurguladı.

Doku üzerinde yapacakları moleküler analizlerle böceğin türünü tespit edeceklerini ve vücut hücrelerinin böceğe karşı ortaya koyduğu tepki ile ilgili uluslararası makale yayınlayacaklarını ifade eden Kılıç, şunları kaydetti:

"Akciğerlerde zaman zaman yabancı cisim aspirasyonları olabilmektedir. Yabancı cismin büyüklüğüne ve türüne göre farklı akciğer rahatsızları görülebilmektedir. Tıp açısından bu vakanın önemi ise eğer biz bu böceğin moleküler analizler ile türünü belirleyebilirsek, bu türün akciğerlerde böyle bir tümör oluşturabileceğini ortaya koyabiliriz. Bu da tıp literatürüne yeni bilgiler kazandırmış olacak ve hekimlere ışık olabilecek."

(AA)

Kanserden şüphelenilen hastanın akciğerinden böcek çıktı

YORUMLARI GÖR ( 0 )

En Çok Aranan Haberler

Kapat