0% Faizli Fırsat!
Faiz Oranı
%0
Vade
3 Ay
Toplam Tutar
100.000 TL
Cardiff’te kalp fizyoloğu olarak çalışan Macpherson, Londra’daki bir müzik festivalinden dönerken trende talihsiz bir kaza yaşadı. Bagaj rafından düşen ağır bir valiz başına çarpınca şiddetli ağrı yaşayan genç kadın, yolculuk sırasında hastaneye kaldırıldı.
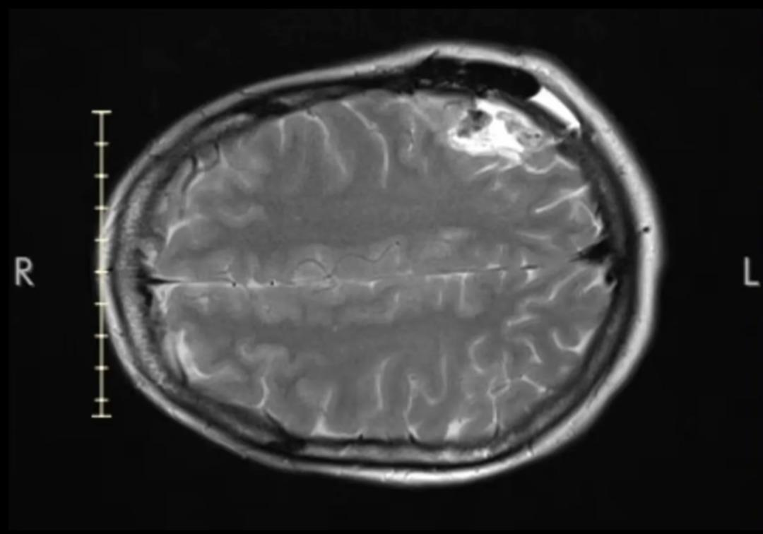
Doktorlar ilk olarak sarsıntı veya omurga kırığı ihtimali üzerinde durdu. Ancak yapılan beyin taramalarında beyninde şüpheli bir gölge tespit edildi.

Yapılan tetkiklerin ardından Macpherson’a nadir görülen bir beyin tümörü olan Oligodendroglioma teşhisi konuldu. Doktorlar ilk etapta genç kadına yalnızca 12 ay ömrü kalmış olabileceğini söyledi.
Macpherson ise yıllardır yaşadığı belirtilerin o anda anlam kazandığını belirterek, “Aslında içten içe kötü bir şeyler olduğunu hissediyordum” dedi.

Genç kadın, Londra’da özel bir klinikte yaklaşık 6 saat süren uyanık beyin ameliyatı geçirdi. Doktorlar tümörün yaklaşık yüzde 80’ini çıkarmayı başardı. Ancak ameliyat sonrası bir süre konuşma ve hafıza sorunları yaşadı.
Şu anda tedavi ve rehabilitasyon süreci devam eden Macpherson, yeni geliştirilen ilaçların umut verdiğini söylüyor.
