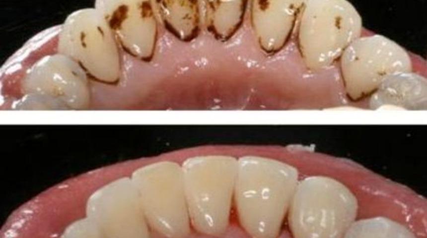
Dişlerde oluşan tartar temizlenmese hem görüntü olarak sizi rahatsız edecektir hem de sağlıksal olarak çok daha büyük sorunlar yaşamanıza neden olacaktır. Bu sorunlarun başında enfeksiyon ve diş iltihabı gelmektedir. İşte bu ceviz kabuüu kürü sayesinde evinizde dişlerinize kolayca bakım yapabilir sağlıklı bir gülüş elde edebilirsiniz.

40 gram ceviz kabuğu
250 ml su
Ceviz kabuklarını suda yaklaşık 25 dakika kadar kaynatın.
Kaynadıktan sonra ateşten alın ve suyun soğumasını bekleyin.

Diş fırçanızı hazırladığınız suya batırın ve yaklaşık 10 dakika bekletin.
Ardından dişlerinizi fırçanız ile 3 dakika boyunca fırçalayın.
Bu süreçte fırçayı ara sıra suya batırın ve fırçalamaya devam edin.
Karışımı günde 3 kez uygulayın. Her gün uygulayacağınız bu işlem için taze ceviz suyu hazırlamalısınız. Düzenli olarak dişlerinizi fırçaladığınızda dişlerinizin beyazladığını göreceksiniz.