YURTHABER

Kapat

Endonezyalı turist tatil için geldiği Alanya'da göğsündeki 3 kiloluk kitleden kurtuldu

Alanya Alaaddin Keykubat Üniversitesi Tıp Fakültesi Göğüs Cerrahisi Anabilim Dalı Başkanı Dr. Öğretim Üyesi Oktay Aslaner: - "Operasyonla hastanın akciğeri açıldı, kalbi rahatladı ve akciğer atar damarı normal hale geldi. Kitlenin tamamen çıkarılmasıyla hasta yeniden sağlığına kavuştu"

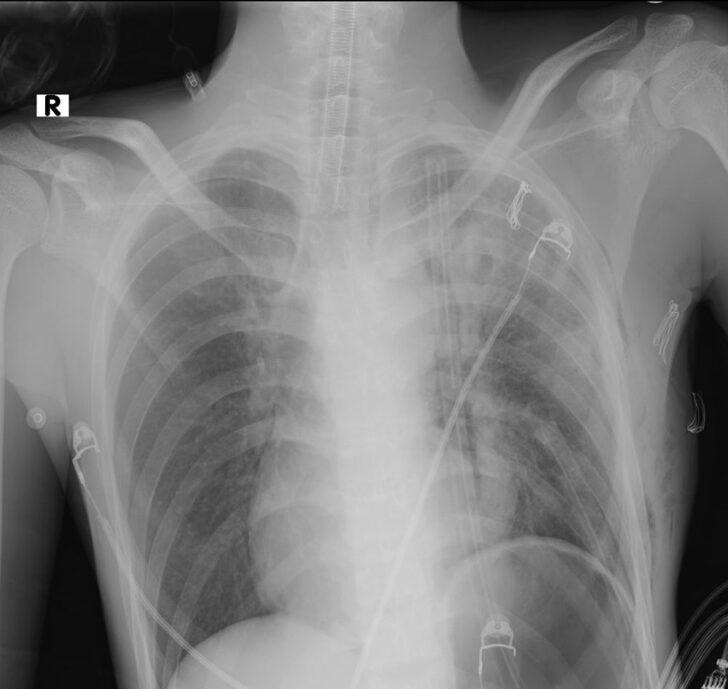
Antalya'nın Alanya ilçesinde, ağzından kan geldiği için hastaneye başvuran Endonezyalı turistin göğüs kafesinden 3 kilogramlık kitle çıkarıldı.

Tatil için ilçeye gelen 19 yaşındaki Endonezyalı I Made Pagehyasa Sangging, öksürdüğünde ağzından kan geldiği için Alanya Eğitim Araştırma Hastanesi'ne başvurdu. Muayene edilen Sangging'in sağ göğsünde kitle tespit edildi. Ameliyata alınan Endonezyalı hastanın göğüs kafesinden 3 kilogram ağırlığında ve 20 santimetre boyutunda bir kitle çıkarıldı.

Operasyonu gerçekleştiren Alanya Alaaddin Keykubat Üniversitesi (ALKÜ) Tıp Fakültesi Göğüs Cerrahisi Anabilim Dalı Başkanı Dr. Öğretim Üyesi Oktay Aslaner, gazetecilere yaptığı açıklamada, tetkiklerde kitlenin kalbe ve diğer organlara baskı yaptığını tespit ettiklerini söyledi.

Hastayı acil olarak ameliyata aldıklarını belirten Aslaner, sağ göğüs kafesinden iki akciğer arasında kalan 3 kilogram ağırlığındaki kitleyi aldıklarını ifade etti.

İlerleyen tıbbi cihazlar ve hastanedeki yoğun bakım olanakları ile ilerlemiş tümörlere müdahale edebildiklerini anlatan Aslaner, "Operasyonla hastanın akciğeri açıldı, kalbi rahatladı ve akciğer atar damarı normal hale geldi. Kitlenin tamamen çıkarılmasıyla hasta yeniden sağlığına kavuştu." dedi.

Sangging da sağlığına kavuştuğu için mutlu olduğunu söyledi. Artık daha sağlıklı bir şekilde tatilini yapabileceğini ifade eden Sangging, operasyonu gerçekleştiren hekimlere ve sağlık çalışanlarına teşekkür etti.

Endonezyalı turist tatil için geldiği Alanya'da göğsündeki 3 kiloluk kitleden kurtuldu

- Alanya Alaaddin Keykubat Üniversitesi Tıp Fakültesi Göğüs Cerrahisi Anabilim Dalı Başkanı Dr. Öğretim Üyesi Oktay Aslaner: - "Operasyonla hastanın akciğeri açıldı, kalbi rahatladı ve akciğer atar damarı normal hale geldi. Kitlenin tamamen çıkarılmasıyla

Anadolu Ajansı ve İHA tarafından yayınlanan yurt haberleri Mynet.com editörlerinin hiçbir müdahalesi olmadan, sözkonusu ajansların yayınladığı şekliyle mynet sayfalarında yer almaktadır. Yazım hatası, hatalı bilgi ve örtülü reklam yer alan haberlerin hukuki muhatabı, haberi servis eden ajanslardır. Haberle ilgili şikayetleriniz için bize ulaşabilirsiniz

En Çok Aranan Haberler

Kapat