Çin'de yaşayan Han Xiao, düzenli bir iş hayatı vardı ve ofiste hemen hemen her gün 10 bardak kahve tüketiyordu. Üstelik Han, kahvesini sütsüz ve oldukça koyu içmeyi tercih ediyordu. Han'ın bu keyfi ne yazık ki onu sağlığından etmeye yetti.

Devamlı olarak tükettiği kahve, Han'da fiziksel ve zihinsel olarak bağımlılık yarattı. İlerleyen zamanlarda uyku konusunda ciddi problemler yaşamaya başlayan genç kadın, bu dönemde ciddi bir öksürük tutulmasına yakalandı. Gribe yakalanan Han, 10 dakika boyunca geçmek bilmeyen öksürüğe daha fazla tahammül edemeyerek doktora gitmeye karar verdi.

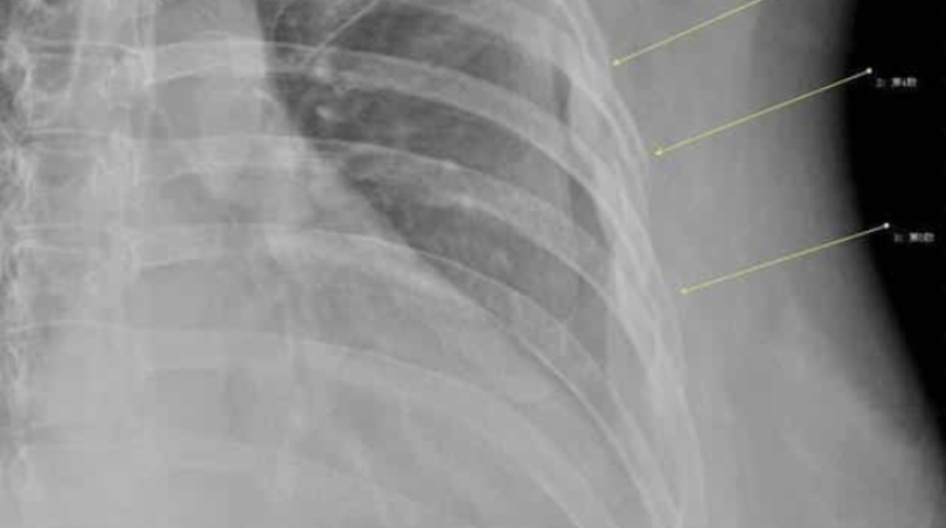
Doktor, ağrının nedenini bulmak için röntgen istedi ve asıl sorunu orada gördü. Han'ın üçüncü, dördüncü ve beşinci kaburgalarının şiddetli öksürük nedeniyle kırıldığını gördü. 7 yıldan uzun süredir su gibi kahve içen Han'a doktor teşhisi koydu; kemiklerinin eski sağlığını kaybetmesinin tek nedini aşırı kahve tüketimiydi. Doktor, 30 yaşındaki Han'a kemik yapısının 60 yaşındaki bir kadına eşdeğer olduğunu söyledi. Ve Han ne yazık ki erken osteoporoz yolundaydı.

Fazla kahve tüketiminin verdiği zararlardan kurtulmak isteyen Han, doğru beslenme planına geçiş yaptı ve kahve miktarını minimuma getirdi. Ardından kalsiyum ve protein destekli bir diyete başladı. Uzmanlar kemik erimesi noktasında kadınları ciddi anlamda uyarıyor ve 45 yaş üstü kadınların düzenli kemik yoğunluğu testine girmelerini öneriyor.
.
Aşağıdaki Görsele Tıklayarak Kanala Abone Olabilirsiniz