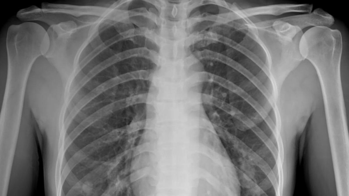
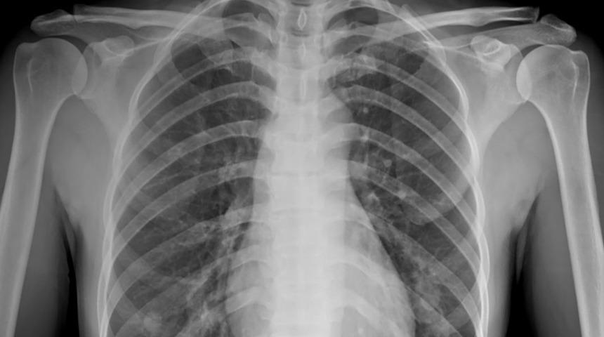
Tanzanya’da bir adam, göğüs ağrısı ve irin gelmesi şikayetiyle hastaneye başvurduğunda, tam sekiz yıldır göğsünde büyük bir bıçak parçasıyla yaşadığı ortaya çıktı.

44 yaşındaki hasta, sağ memesinden 10 gündür beyaz irin geldiğini belirtti. Çekilen röntgende, göğsünün içinde büyük bir bıçak tespit edildi. sekiz yıl önce kavga sırasında yüzünden, sırtından ve göğsünden yaralandığını, o dönemde hastanede sadece dikiş atıldığını hatırladığını söyledi. Ancak o dönemde bulunduğu hastanede görüntüleme imkanı olmadığı için vücudunda yabancı cisim fark edilmedi.