Sağlık görevlileri yapılan ilk taramalarda, emekli adamın yaşamsal belirtilerinin stabil olduğunu tespit etti. Ancak yapılan fiziksel muayenede yüzünün sol tarafının düştüğünü, konuşmasının kaydığını gözlemledi.

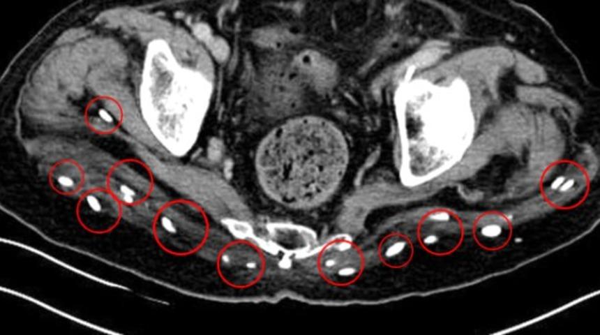
Doktorlar, yapılan tetkikler sonucu adamın vücudunun neredeyse her yerinde yüzlerce minik solucan yumurtası olduğunu görünce dehşete düştüler.

Filmler, yumurtaların beyninde, omurgasında, kalçalarında, boynunda, göğsünde ve bacaklarında olduğunu gösteriyor.

Doktorlar, hastaya nörokistisrozis denen bir hastalık tanısı koydu. Yani çiğ domuz eti yemenin bir sonucu olan bir tapeworm enfeksiyonu.

Eğer bu hastalık tedavi edilmezse, hastanın merkezi sinir sisteminde, kaslarda, cildinde ve gözlerinde ağır tahribata yol açacak. Nörosisticeroz, en ciddi enfeksiyon şeklidir ve dünya genelinde epilepsi ve nöbetlerin yaygın bir nedenidir. Adamın nasıl tedavi edildiği veya tam iyileşme sağlayıp sağlamadığı belli değil ama Dünya Sağlık Örgütü'nün belirttiğine göre bu hastalığın tedavisi var.
