0% Faizli Fırsat!
Faiz Oranı
%0
Vade
3 Ay
Toplam Tutar
100.000 TL
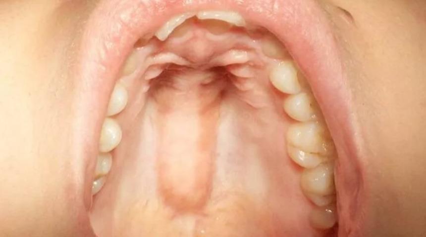
Dilinizi damağınızın üzerinde gezdirin; düz mü hissediyorsunuz yoksa hafif bir yumruya mı rastladınız? Dünya genelinde, ağzında bu şişlikle yaşayan insanların belli bir sayıda olduğunu unutmayın! Çoğunlukla kadınlarda görülen bu kütle, semptomsuz bir kemik büyümesidir.
TikTok kullanıcısı @zoekwee, herkes gibi böyle sert bir yumruyla yaşadığının farkında değildi. Kısa bir süre önce bu durumu fark eden Zoek Wee, şu açıklamaları yaptı: ''Eşimi ve oğlumu incelediğimde bu sert şişliğe rastlamadım. Büyük bir şaşkınlık içindeydim; çünkü hiç kimsede böyle bir şeyin olduğunu duymamıştım. Olumsuz düşünceler beni sarmaya başlamıştı. Hatta, sağlığımla ilgili ters giden bir durum olduğunu bile düşünmüştüm. Doktora gitmeden önce vakit kaybetmeden araştırma yapmaya başlayınca rahatladım.''

Torus Palatinus olarak adlandırılan bu sert şişliğin bir zararı yok. Damak üzerinde bulunan bu kütlenin boyutu herkeste farklılık gösterir; 0.2-0.6 cm olarak değişir. Ortalama bir sayı vermek gerekirse, dünya nüfusunun %20 ile %30'unda Torus Palatinus var. Kadınlarda bulunma oranı yüksek olan bu kütlenin, araştırmalar sonucunda Asya kökenli kadınlarda daha yaygın olduğu gözlemlenmiştir. Ayrıca bu şişliğin genetik bir hikayesinin de olduğunu gösteren incelemeler de vardır.
Torus Palatinus, ağrısız bir kemik büyümesidir. Herhangi bir ağrı yaşatmayan bu şişlik, farklı şekillerde de görülebilir; düz, nödüler veya iğ ipliği gibi uzundur.

Hızlı büyümediği için birçok insan bu sert şişliğin farkında değildir. Genellikle ergenlik çağında başlama oranı yüksektir ve orta yaş dönemine gelince fark edilmeye başlanır. Torus Palatinus, kemik gibi sert olduğu için yaşlandıkça büyümez; kemik erimesi ile beraber küçülür.
Dikkat çeken bir araştırma sonucuna göre; tuzlu su balığını fazla miktarda tüketen Japonya, Hırvatistan ve Norveç gibi ülkelerde Torus Palatinus görülme oranı oldukça yüksektir. Bunun nedeni, tuzlu su balıklarının fazla miktarda doymamış yağ ile D vitamini içermesidir.
Diş protezlerini tam olarak oturtamama, yemek yerken veya çerez çiğnerken takılma gibi sıkıntı yaşatan tarafları bulunuyor. Kan damarı bulunmayan bu şişlik için cerrahi bir müdahale tavsiye edilmiyor.
Genel olarak yaygın olmayan bu durum için telaşa gerek yok; ağzınızda sert bir şişliğin olduğunu kabullenip hayatınıza devam edin!