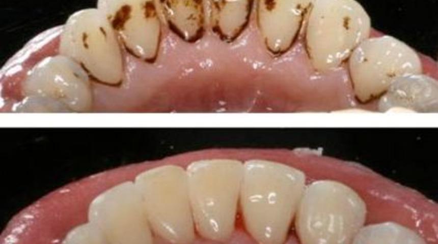
Dişlere, diş etleri veya protezlere tutunan yapışkan ve yumuşak bakteri tabakasına diş plağı denir. Bu plaklar tükürükte bulunan mineraller ile birleşerek sertleşir ve tartar denilen tabakayı meydana getirir. Tartar, dişlerde gıda kalıntısı birikmesi, bakteriler, genetik, dip fırçalama yapılmaması gibi nedenlerden dolayı zaman içinde oluşur. Peki diş tartarı nasıl temizlenir?

Tartar, tehlikeli ve çeşitli ağız hastalıklarına neden olabilir. Sağlıklı beslenmenin ve vücuda giren yiyeceklerin ağızdan geçtiğini bu anlamda ağız ve diş sağlığının ne kadar önemli olduğunu düşünürsek, tartarı temizlemenin de kaçınılmaz olduğu ortadadır.
Limon suyu asidik içeriğinden dolayı, plak ve tartarın çözülmesine yardım eder. Suyu biraz sıkılmış limon ve nane yağı karıştırın ve karışımı ağzınızı iyice durulamak için kullanın.
Biberiye, ağızdaki bakterileri yok eder. Diş plağının birikmesini, diş çürümesini ve ağızdaki kötü kokuyu yok eder. Bu iki maddeyi su ile karıştırın ve yaklaşık 15-20 dakika bekletin. Sadece sıvı alın ve ağzınızı iyice yıkayın.
Küçük bir domates ve çileği blenderdan geçirip hamur yapın. Bu karışımı dişlerinize sürün ve 5 dakika bekleyin. Daha sonra ağzınızı durulayın. Çilek ve domates, ağızdaki bakterileri öldürecek ve tartarı yok edecektir. Bu işlemi haftada 2 kez uygulayabilirsiniz.
Bazı hindistancevizi yağı sıvılaşıncaya kadar eritin ve bakterileri ağzından çıkarmak için bir gargara olarak kullanın.
Hem aloe vera hem de karbonat antimikrobiyal özelliklere sahiptir. Yararlı antioksidanlar içerir. Aloe Vera Jel, Gliserini, sodyum bikarbonat, sıkılmış limon ve biraz su. Karıştırın ve her gün yıkayın ve tartar kaybolduğunu gördüğünüzde haftada bir veya iki kez açın. Gliserin dişlerin yeniden mineralizasyon işlemini engelleyebileceğinden bu yöntemi uzun süre kullanmayın.
Kabuğu doğrudan dişlerinize sürtün ve birkaç dakika gibi bırakın. Ardından su ile durulayın. Kabuklar ağzındaki mikroorganizmaları öldürecektir. Veya birkaç portakalı kabuğunu soyup blenderdan geçirin ve macun yapın. Bu macunu 1-2 dakika dişlerde bekletip duruluyan. Bu yöntem sararmış dişleti beyazlatmak için de kullanılabilir.
Tartarı durdurmak ve ağzınızı herhangi bir enfeksiyona karşı temizlemek için üretilen diş macunu kullanın ve içinde bulunan kimyasallar tartarları kırar ve bir daha ortaya çıkmasını önler.
Yemek yedikten bir saat sonra elma, kavun, havuç gibi yiyecekleri tüketin. Böylece ağzınızı temizleyebilir, dişlerini beyazlatabilir ve güçlendirebilirsiniz.
Dişlerinizi daha iyi temizleyebilmek için normal diş fırçası yerine otomatik pilli fırça kullanın.
Normal fırçalama sonrası diş fırçasını biraz limon suyuna batırın. Fırçayı yumuşak hareketlerle dişlerinize sürün ve ılık su ile durulayın. Bir hafta içinde dişleriniz daha beyaz olacak!