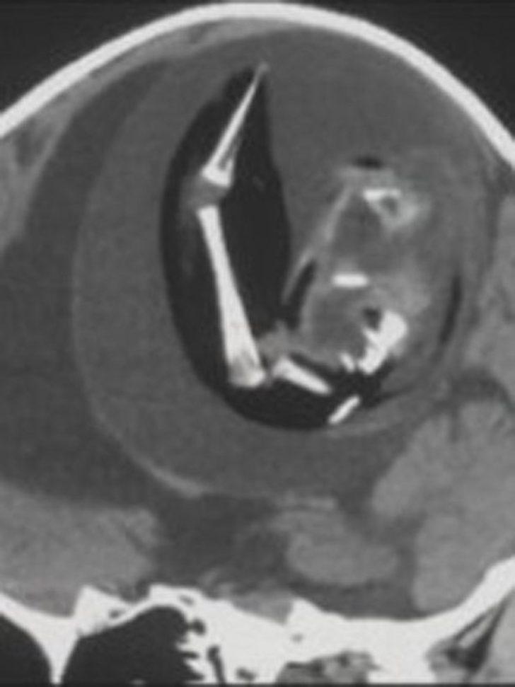
Çin’deki Feudan Üniversitesi’nde ilginç bir tıbbi vaka yaşandı. İsmi açıklanmayan 1 yaşındaki kız çocuğunun doğmamış ikizinin anne karnındayken kafasının içine girerek büyümeye devam ettiği belirlendi. Fetüs içinde fetüs olarak bilinen bu tıbbi durumda 1 yaşındaki kız çocuğunun kafasının içindeki ikizinin fetüsü büyümeye devam etti. Fetüsün üst uzuvları, kemikleri ve tırnakları gelişti. Durum BT taramalarında tespit edildi.
1 YIL BOYUNCA ORADA YAŞADI
Kızın doğumundan yaklaşık 1 yıl boyunca fark edilmeyen fetüs hayatta kalan ikizi ebeveynlerinin büyük kafatası ve motor becerilerindeki problemler nedeniyle hastaneye götürmesiyle ortaya çıktı. Fetüs, kardeşiyle kan akışını paylaştığı için kafatasının içinde bir yıl hayatta kalmayı başardı, ancak sonunda ameliyatla alındı.
Kızı tedavi eden bir nörolog olan Dr. Zongze Li, “İntrakraniyal ceninin, ayrılmamış blastosistlerden kaynaklanıyor.Yapışkan parçalar, konakçı fetüsün ön beynine dönüşür ve nöral plaka katlanması sırasında diğer embriyoyu sarar” dedi.
Cenin içinde fetüs son derece nadir görülen bir fenomendir ve yalnızca 200 kez kaydedilmiştir ve bunların 18'i beyinde meydana gelmektedir. Bu durum, bir yumurtanın bölünmesiyle oluşan tek yumurta ikizlerinin anne karnında tam olarak ayrılmaması durumunda ortaya çıkar.