Mynet Trend

Kapat

Burnunun ucundaki esrarı 18 yıl sonra fark etti

Avustralya'da 48 yaşındaki bir adam sinüzit ve baş ağrısı şikayetiyle doktora gittiğinde 18 yıl boyunca burnunda esrar unuttuğunu öğrendi.

Burnunun ucundaki esrarı 18 yıl sonra fark etti

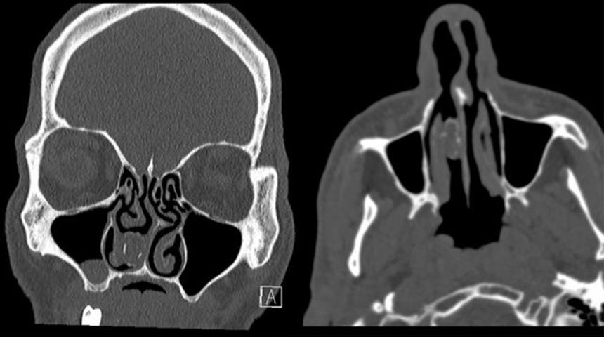
Live Science'da yer alan habere göre, Sydney kentinde Westmead hastanesine başvuran adam şikayetlerini doktora anlattıktan sonra tetkikler yapıldı. Yapılan taramalar sonucu adamın burnunda sıkı gri bir kütle görüldü.

Araştırmalar sonucunda burnundaki kütlenin bir paket içinde bulunan esrar olduğu ortaya çıktı.

Durumun ortaya çıkmasının ardından 48 yaşındaki adam yıllar önce gözaltında bulunduğu bir dönem, kız arkadaşının ona küçük bir poşet esrar ulaştırdığını ve gardiyanlardan saklamak için esrarı burnuna sakladığını hatırladı.

YORUMLARI GÖR ( 0 )

En Çok Aranan Haberler

Kapat