Japonya’da yaşayan ismi açıklanmayan 79 yaşındaki adam tıp dünyasını şaşırtan bir olaya imza attı. Kulpları bulunmayan ve yaklaşık 2 metre uzunluğundaki atlama ipini cinsel organının içine sokan adam nedenini henüz açıklamadı. MailOnline’da yer alan habere göre adam başlangıçta tuvalete gittiğinde yanma hissinden şikayet ederek hastaneye başvurmaya karar verdi.
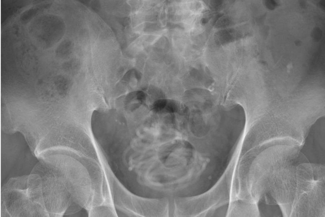
Tokyo’nun yaklaşık 100 kilometre kuzeyindeki bir hastanede adamın şikayeti üzerine ultrason dahil olmak üzere pek şok tarama yapıldı. Taramanın ortaya çıkardığı sonuçla kafaları karışan sağlık görevlileri daha sonra bir röntgen çektiler ve burada "tele benzer kıvrılmış bir yabancı cisim" buldular. Adam sonunda penisine bir atlama ipi soktuğunu itiraf etti.
İp mesanenin içinde düğümlendiği için sağlık görevlileri cerrahi işleme ihtiyaç duydu. Urology Case Reports'ta yayınlanan çalışmanın baş yazarı Profesör Toshiki Kijima, taramaların ve modellerin, dolaşıklık nedeniyle ipi penisten geri çekme şansının imkansız olduğunu kanıtladığını söyledi.
Profesör Kijima prosedüre dair olarak, "İpin uzunluğu ve mesaneye dolanması düşünüldüğünde transüretral ekstraksiyon zordu. Geleneksel olarak, yabancı cisimleri çıkarmak için kavrama forsepsleri ve geri alma sepetleri kullanılır. Ancak, mesaneye yerleştirilen teller genellikle mesane kasıldıkça kıvrılır; bu nedenle, tel benzeri yabancı cisimler için özel dikkat gereklidir.” ifadeleri kullanıldı.