0% Faizli Fırsat!
Faiz Oranı
%0
Vade
3 Ay
Toplam Tutar
100.000 TL
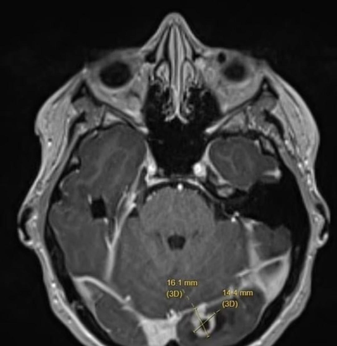
Baş ağrıları, görme bozuklukları ve ışık parlamaları gibi belirtiler yaşamaya başlayan ilk kez anne olan Susan Ash, yaşadığı durumu migrene bağlasa da ölümcül bir hastalığa yakalandığını öğrendi.

Doğumdan 3 ay sonra bir futbol maçında geçirdiği nöbet sonrasında beyninde sessizce büyüyen bir tümör olduğu ortaya çıktı. Kanserli olmayan hücre, hamilelikte hormonel değişimlerin tümörü tetikleyerek nöbet başlatmış olabileceği düşünülüyor. Ash ise baş ağrılarının ve gözünde önde beliren ışık parlamalarının çocukluğundan beri yaşandığını fakat bunun tümörle bağlantısı olduğunu yeni fark ettiğini söyledi.

yaşadığı durumla ilgili, "Korku, kaygı, üzüntü ve umut bir arada… Ama asıl hedefim kimsenin bu süreçte yalnız olmadığını hissettirmek" diye konuştu.