ABD'nin Utah eyaletinde üç yaşında ismi açıklanmayan bir çocuk evde bulduğu şişle, sihirli değnekmiş gibi oynamaya başladı. Bu sırada yatağının üzerinde zıplayan çocuk dengesini kaybederek aşağı düştü.
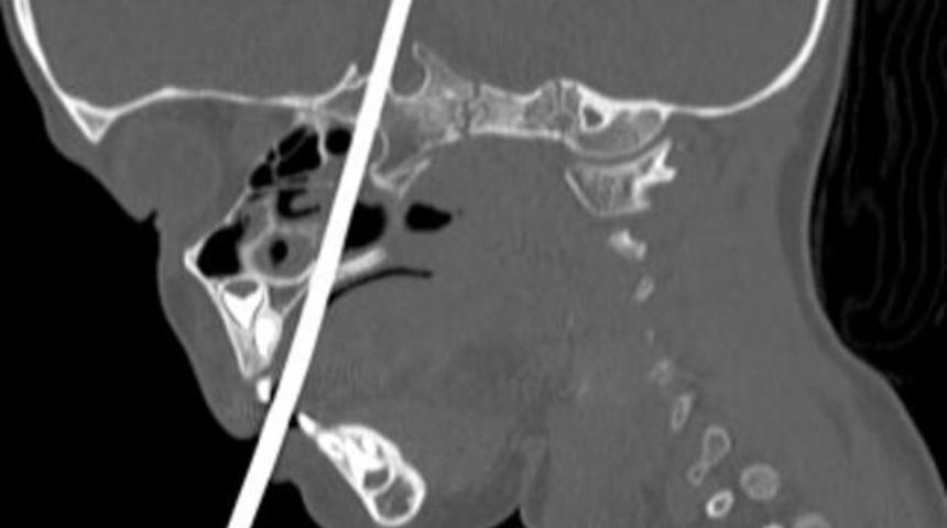
Elinde olan şiş de küçük çocuğun ağzından girip ense kökünden çıktı.
Küçük çocuk apar topar hastaneye kaldırıldı.
İlk tetkiklerde şişin beyne saplanmasına rağmen beyinde kalıcı bir tahribata neden olmadığı ortaya çıktı.

İki hafta boyunca tedavisi süren çocuğun kanaması durduruldu ve akan beyin sıvısı için menenjit riskine karşı müşahade altında tutuldu.
Çocuğun hayatına sağlıkla kaldığı yerden devam ettiği belirtildi.