0% Faizli Fırsat!
Faiz Oranı
%0
Vade
3 Ay
Toplam Tutar
100.000 TL
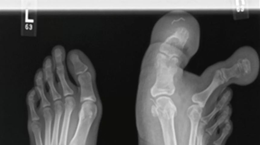
Malezya'nın başkenti Kuala Lumpur'da yaşayan ismi açıklanmayan 12 yaşındaki kız, sağ ayağının birinci ve ikinci ayak parmaklarını büyüten, devlik olarak da bilinen Macrodystrophia Lipomatosa (MDL) hastası olarak dünyaya geldi. Kalıtsal olmayan durum, fibroyağlı dokunun giderek büyümesine neden olarak anormal boyutlara ulaşmalarına neden olmasıyla biliniyor. Kendisine doğumda MDL teşhisi konulmasına rağmen ailesi tarafından kontrollerine getirilmeyen kız çocuğunun durumu gittikçe zorlaştı.

Kızın ailesi ayağındaki şekil bozukluğunun zamanla kötüleşmesi üzerine kızı hastaneye götürmeye karar verdi. Yürüme zorluğu yaşayan kızın durumunu inceleyen sağlık ekipleri, "Düz radyografiler ve MRI bulguları, birinci ve ikinci ayak parmakları çevresinde, birinci metatarsın medial ve lateral yönlerinde, ayağın medial plantar kemerine kadar uzanan yağ dokusu birikimini ortaya çıkardı.MDL çok nadir görülen bir konjenital lokalize devlik hastalığıdır ve cerrahi konsültasyon sıklıkla kozmetik nedenlerden dolayı yapılmaktadır" ifadelerini kullandı.

Ayağın işlevselliğini artırmak ve ayakkabı giymeyle ilgili sorunları hafifletmek için tıbbi ekip başarılı bir yeniden yapılandırma operasyonu gerçekleştirdi. Yapılan cerrahi müdahalenin sonucunda 12 yaşındaki kızın ayakkabı giyme ve yürüme konusunda rahatladığı belirtildi.