Mynet Trend

Kapat

Cinsel organından çıktı: Tam 5 metre! Doktorlar şaşkınlığını gizleyemedi

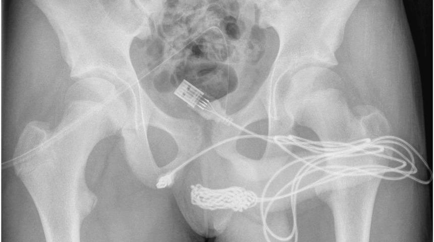
İngiltere’de yaşayan ve ismi açıklanmayan 15 yaşındaki bir erkek çocuk cinsel organının boyunu ölçmek için penisine USB kablosu yerleştirdi. Ancak USB kablosunu penisinden çıkaramaması ve idrarında kan görülmesi üzerine annesi tarafından hastaneye kaldırıldı. Doktorlar yabancı cismi ameliyatla çıkartmayı başardı.

İngiltere’de yaşayan 15 yaşındaki bir erkek çocuk düğümlediği tam 5 metre uzunluğundaki USB kablosunu cinsel organına yerleştirdi. Cinsel deney yaptığını ifade eden çocuk kabusu yaşadı. USB kablosunun cinsel organına zarar vermesi üzerine idrarında kan görmeye başlayan çocuk annesi tarafından hastaneye kaldırıldı. Doktorlara durumu itiraf etmeden önce annesinin odadan çıkmasını bekleyen çocuk, 5 metrelik USB kablosunu cinsel organına yerleştirdiğini söyledi.

ACİLEN AMELİYATA ALINDI

Doktorlar Science Direct raporunda olaya ilişkin olarak, “USB kablosunun iki distal portunun dış üretral kanaldan dışarı çıktığı ve düğümlü telin orta kısmının üretra içinde kaldığı tespit edildi. Hasta, ruh sağlığı bozukluğu öyküsü olmayan, aksi halde zinde ve sağlıklı bir ergendi." ifadelerine yer verildi. Doktorlar oluşan düğüm miktarı nedeniyle kabloyu metal bir çubukla çıkartamadılar. Bu nedenle çocuk acilen ameliyata alındı.

Kateterler takılıyken sıkışan kabloya erişim sağlamak için cinsel organları ve anüsü arasına bir yerleştirme yapıldı. Prosedürü açıklayan doktorlar, "Elle gelen yabancı cisim üzerinde uzunlamasına bir penoskrotal kesi yapıldı ve daha derin dokularda dikkatli bir diseksiyon yapıldı ve bulbospongiosus kasını ayırdı. Telin her iki ucu da dış üretral kanaldan başarıyla çıkarıldı." dedi.

MyMani

Öne Çıkan İhtiyaç Kredileri

Tümü

0% Faizli Fırsat!

GARANTİ BBVA - %0 FAİZLİ 100.000 TL

Faiz Oranı

%0

Vade

3 Ay

Toplam Tutar

100.000 TL

Detayları gör

0% Faizli Fırsat!

DENİZBANK - %0 FAİZLİ 100.000 TL

Faiz Oranı

%0

Vade

3 Ay

Toplam Tutar

100.000 TL

Detayları gör

Avantajlı Fırsat

AKBANK %0,99 FAİZLİ 100.000 TL

Faiz Oranı

%0,99

Vade

12 Ay

Toplam Tutar

100.000 TL

Detayları gör

0% Faizli Fırsat!

İŞ BANKASI - %0 FAİZLİ 55.000 TL

Faiz Oranı

%0

Vade

3 Ay

Toplam Tutar

55.000 TL

Detayları gör

İKİ HAFTADA İYİLEŞTİ

Ameliyatın ardından iki haftalık iyileşme sürecisini tamamlayan çocuk taburcu edilerek evine gönderildi. Bununla birlikte çocuğun uzun süreli hasarın olup olmadığını tespit edilmesi için sık sık rutin kontrollerden geçeceği belirtildi.

YORUMLARI GÖR ( 0 )

En Çok Aranan Haberler

Kapat