Mynet Trend

Kapat

Tanımadığı adama meydan okuyarak bilek güreşi yapmak istedi! Sonu beklemediği gibi bitti... Hastanelik oldu

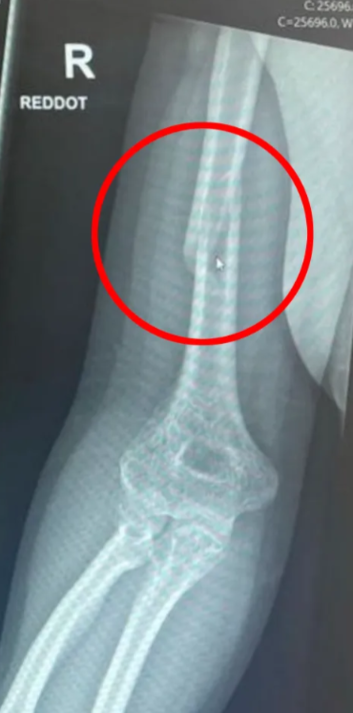
24 yaşındaki Daisy Johnson isimli bir kadın arkadaşlarıyla Paskalya Bayramı'nı kutlamak için partiye katıldı. Yabancı bir adamla bilek güreşi yapmaya karar veren Johnson'un kolunun kırıldığı anlar saniye saniye kameraya yansıdı. Çatlama sesi gelince hastaneye kaldırılan Johnson sosyal medyadan o anları yayınlayınca viral oldu.

Tanımadığı adama meydan okuyarak bilek güreşi yapmak istedi! Sonu beklemediği gibi bitti... Hastanelik oldu

Sosyal medyada bir partide tanımadığı bir adama meydan okuyarak bilek güreşi yapmaya karar veren Daisy Johnson isimli bir kadın o anları sosyal medyadan paylaşınca gündem oldu. Genç kadın rekabetin alevlendiği anlarda kolunun kırıldığını söyledi. Hastaneye kaldırılan kadın üst kolunda omuza bağlanan bir kemik olan humerusunda spiral bir kırık yaşadı.

Mynet'in Sesi

YORUMLARI GÖR ( 0 )

En Çok Aranan Haberler

Kapat