Mynet Trend

Kapat

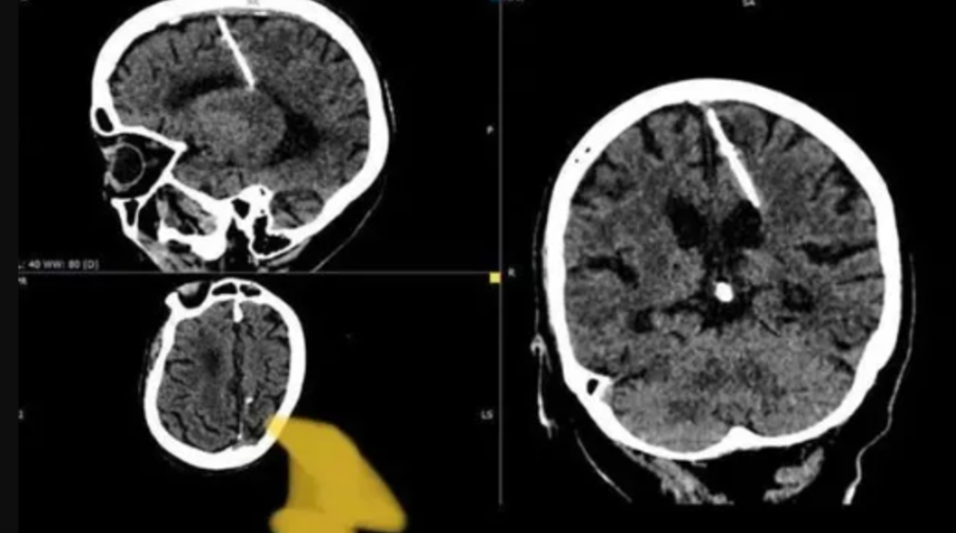
80 yaşındaki kadın tüm hayatı boyunca beyninde bulunan iğneyle yaşadı! Nedeni doktorları bile şaşkına çevirdi

80 yaşındaki ismi açıklanmayan bir kadın doğumundan itibaren beyninde bulunan bir iğneyle yaşadı. Doktorların CAT taraması sırasında fark ettikleri iğne herhangi bir sağlık sorununa neden olmadığı ve ameliyat yapılması durumunda daha da kötüleşme ihtimali olduğu için çıkartılmaması tercih etti. İğnenin beyinde bulunma nedeni ise şaşkınlık yarattı.

80 yaşındaki kadın tüm hayatı boyunca beyninde bulunan iğneyle yaşadı! Nedeni doktorları bile şaşkına çevirdi

80 yaşındaki kadın, bebekliğinde yaşadığı korkunç olayın ardından beyninde bulunan 3 cm uzunluğundaki iğneyle yaşadı. Doktorlar, yaşlı kadının, II. Dünya Savaşı'nda ailelerin hayatta kalma mücadelesi verdiği ve bazılarının bebek öldürmeye başvurduğu sırada ebeveynleri tarafından başarısız bir öldürme girişiminin kurbanı olduğunu keşfetti. Yıllarca beyninde bulunan iğneyle yaşayan yaşlı kadın yapılan incelemede iğnenin herhangi bir sağlık sorununa neden olmadığı belirtildiği için cerrahi işlem uygulanmadı.

HAYATTA KALMAYI BAŞARDI

Japonya'nın kuzeyindeki bir ada olan Sakhalin'de doğan ve Rusya'da yaşamaya başlayan 80 yaşındaki kadın, iğnenin başının üst kısmında fontanel adı verilen yumuşak bir noktadan girmesi nedeniyle hayatta kalmayı başardı.

Mynet'in Sesi
YORUMLARI GÖR ( 0 )

En Çok Aranan Haberler

Kapat