0% Faizli Fırsat!
Faiz Oranı
%0
Vade
3 Ay
Toplam Tutar
100.000 TL
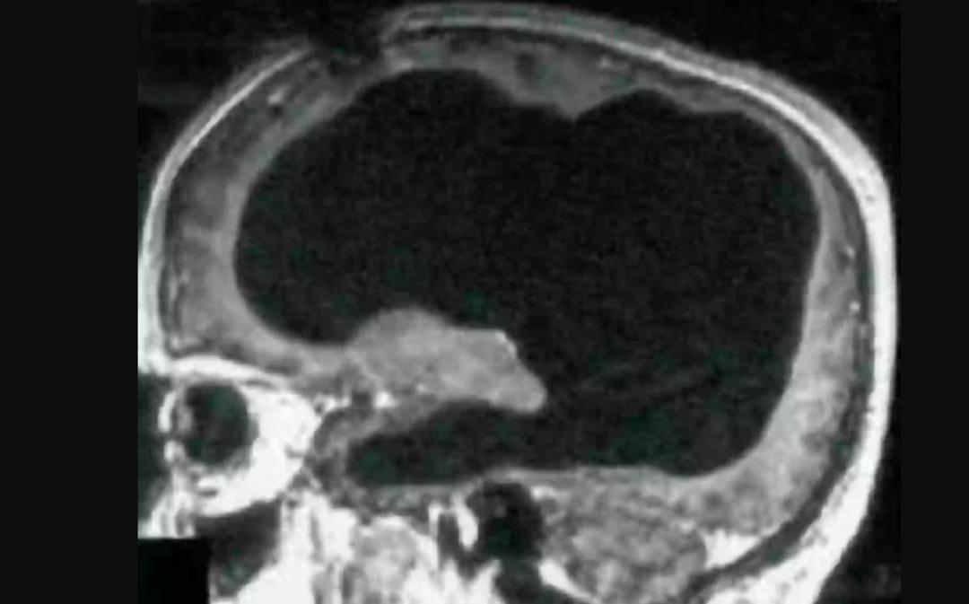
MYNET|DIŞ HABERLER Fransa'da yaşayan 44 yaşındaki ismi açıklanmayan bir hasta yaklaşık iki haftadır bacağında herkesi hissedebileceği gibi hafif bir ağrı ve güçsüzlük fark edince hastaneye gitti. Ağrı ve güçsüzlüğün ciddi bir şey olmadığından emin olmak için hastaneye gittiğini ifade eden hasta, "hidrosefali" olarak bilinen beyinde ve beyin çevresinde aşırı sıvı birikmesinden muzdaripti.

Bilişsel psikolog Axel Cleeremans vakaya ilişkin olarak yaptığı açıklamasında, "Normal bir hayat yaşıyordu. Bir ailesi vardı ve normal insanlar gibi çalışıyordu. Şikayeti sırasında IQ'su test edildi. Bu, normal aralığın biraz altında olan 84 çıktı. Beyin taraması yapılınca ise gerçek ortaya çıktı" dedi.
Doktorlar, hastalığından dolayı beyninde biriken sıvı nedeniyle beyninin büyük kısmının 30 yıl boyunca yavaş yavaş tahrip olduğuna inanıyor. Hastalığın teşhisi bebekken konulan Fransız hasta, bebekken kendisine stent takıldığını ancak 14 yaşındayken stent çıkarıltıldığını söyledi. Stentin çıkartılmasının ardından ise beyninin büyük bir kısmının aşınmış göründüğü ifade edildi.