0% Faizli Fırsat!
Faiz Oranı
%0
Vade
3 Ay
Toplam Tutar
100.000 TL
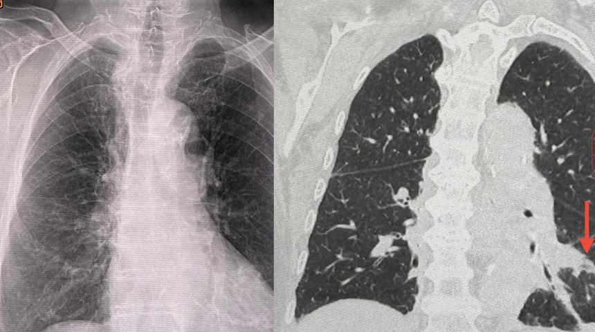
MYNET|DIŞ HABERLER Tayland'ın Bangkok şehrinde solunum sistemi uzmanı olarak görev yapan Dr. Manoon Leechawengwong, 88 yaşındaki bir kadının akciğer enfeksiyonu vakasını anlattı. Aylardır kapalı duran ve kullanılmayan bir odada sadece birkaç gün kalan 88 yaşındaki kadının hastalanması vakanın temelini oluşturdu.

Tedaviye alınmadan ve röntgen çekilmeden önce, ateş, öksürük ve balgamla kendini hasta hissetmeye başladı. Sol akciğerde nekroz vardı. Doktorlar akciğerlerinde bakteriyel enfeksiyon olduğu sonucuna vardılar. Bu durumun klima mikroplarından kaynaklanabileceği sonucuna vardılar. Doktorlar tanı olarak ise, "zatürreye neden olan Legionella pneumophila bakterisiyle enfeksiyon" ifadelerini kullandı. 1 hafta süren tedavinin ardından 88 yaşındaki hastanın iyileştiği ifade edildi.

Aylardır kapalı olan odada kaldıktan 2 gün sonra ateşinin çıkmaya başladığını söyleyen 88 yaşındaki hasta, "İki gün sonra ateşim çıkmaya başladı. İlk başta berrak bir balgamım vardı. Daha sonra daha fazla balgamım oldu, yorgundum, burun akıntım yoktu, boğaz ağrım yoktu, baş ağrım yoktu, vücudumda ağrılar yoktu. Tedavi için Pak Chong yakınlarındaki bir hastaneye gittim. Göğüs röntgeni çektiler. Sol alt tarafta bir anormallik bulundu" dedi.