Mynet Trend

Kapat

Küresel çapta ilk vaka! Taylandlı adamın hapşırığını tutmak isterken nefes borusu yırtıldı... Tıp dünyasını şaşkına çevirdi

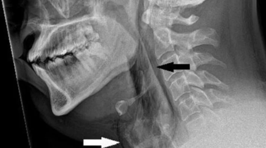
Tuhaf bir tıbbi vakada, Taylandlı bir adam bir şekilde hapşırmayı bastırarak nefes borusunu yırtmayı başardı. Dünyada türünün ilk örneği olduğu bildirilen olay, Srinakharinwirot Üniversitesi'nde adli tıp uzmanı Dr. Veerachai Jarusachaisri tarafından ortaya çıkarıldı.

MYNET-DIŞ HABERLER Taylandlı ismi açıklanmayan bir hasta araba kullanırken hapşırma ihtiyacı duydu. Bunun olmasına izin vermek yerine burnunu sıkıştırıp ağzını kapatarak hapşırığı bastırdı. Bu eylem, üst solunum yollarında hapşırma sırasında oluşan normal basıncın 20 katı kadar bir basınç oluşmasına neden oldu. Basınçla birlikte adamın nefes borusunun yırtıldığı belirtildi.

ŞİDDETLİ BAŞ VE BOYUN AĞRISIYLA BAŞVURDU

Şiddetli boyun ağrısı ve boynunun her iki yanında şişlik şikayetiyle acil servise başvuran şahsın, nefes alma, yutkunma ve konuşma ile ilgili herhangi bir sorununun olmadığı öğrenildi. Bilgisayarlı tomografi (BT) taramasında, hapşırık sırasında basıncın hızla artması nedeniyle nefes borusunda 2x2 milimetrelik bir yırtılma olduğu ortaya çıktı.

İKİ GÜN BOYUNCA İZLENDİ

Doktorlar adamın ameliyata gerek duymadığı sonucuna vardı. Bunun yerine oksijen seviyelerinin ve diğer hayati belirtilerinin stabil kalmasını sağlamak için iki gün boyunca izlendi. Daha sonra ağrı kesici ve ateş düşürücü ilaçla hastaneden taburcu edildi. İki hafta boyunca yoğun fiziksel aktiviteden kaçınması önerildi. Sanook'un bildirdiğine göre, beş hafta sonraki bir takip raporu, CT taramasında da ortaya çıktığı gibi, yaranın iyileştiğini gösterdi.

MyMani

Öne Çıkan İhtiyaç Kredileri

Tümü

0% Faizli Fırsat!

GARANTİ BBVA - %0 FAİZLİ 100.000 TL

Faiz Oranı

%0

Vade

3 Ay

Toplam Tutar

100.000 TL

Detayları gör

0% Faizli Fırsat!

DENİZBANK - %0 FAİZLİ 100.000 TL

Faiz Oranı

%0

Vade

3 Ay

Toplam Tutar

100.000 TL

Detayları gör

GETİRFİNANS - %2.89 FAİZLİ 650.000 TL

GETİRFİNANS - %2.89 FAİZLİ 650.000 TL

Faiz Oranı

%2,89

Vade

12 Ay

Toplam Tutar

650.000 TL

Detayları gör

0% Faizli Fırsat!

İŞ BANKASI - %0 FAİZLİ 55.000 TL

Faiz Oranı

%0

Vade

3 Ay

Toplam Tutar

55.000 TL

Detayları gör
YORUMLARI GÖR ( 0 )

En Çok Aranan Haberler

Kapat