YAZARLAR

BİZE ULAŞIN

Seray Üstün

Diğer Yazarlar

Ölüm Köprüsü adı verilmişti! 50 kişilik turist grubunun geçtiği köprü bir anda yıkıldı... İki turiste mezar oldu

15-10-2022 13:54

Sırbistan'daki Ovčarsko Kablar Boğazı üzerindeki köprü yerli halk arasında “Ölüm Köprüsü” adıyla biliniyordu. Tahta sıralar ve ince iki ipten oluşan köprü 50 kişilik turist grubunun geçişine dayanamayarak bir anda çöktü. Turistler köprünün çökmesiyle birlikte soğuk suya düşerken iki turistin hayatını kaybettiği açıklandı.

Devamını Oku

Bartın'daki maden faciasında hayatını kaybeden madencilerden geriye sadece fotoğrafları kaldı! Acılı aileler paylaştı

15-10-2022 13:26

Türkiye dün akşam saatlerinden itibaren Bartın’ın Amasra ilçesindeki maden patlaması olayı konuşuyor. Hayatını kaybedenlerin kimlikleri belirlenirken madencilerden geriye ailesiyle ve arkadaşlarıyla çekildikleri fotoğrafları kaldı.

Devamını Oku

Başrollerini Çağlar Çorumlu ve Boran Kuzum’un paylaştığı “Hazine” filminin fragmanı yayınlandı

15-10-2022 11:57

Yönetmenliğini Canbert Yerguz'un üstlendiği filmin senaryosu Yerguz'un ve Burak Yerlikaya'nın imzasını yaşıyor. BKM imzasıyla çıkacak olan Hazine filminin fragmanı paylaşıldı. Türü kara komik olarak tanımlanan Hazine filmi ilginç konusuyla komedi sevenleri sinema salonlarına çekmeye aday.

Devamını Oku

Hayatı boyunca hiç cinsel ilişkiye girmeyen kadından itiraflar! “Seks istemiyorum ben bir aseksüelim”

15-10-2022 11:44

TikTok Caroline Cull kullanıcı adıyla paylaşım yapan bir kadın yıllar boyunca hiç cinsel ilişkiye girmediğini ve böyle bir dürtüsü olmadığını itiraf etti. Kendisinde bir sorun olduğunu düşünen Cull, hiçbir zaman seks yapma isteği duymadığını fark edince bu durumu araştırmaya karar verdi. Sonunda aseksüel olduğunu anlayan kadın kendisiyle benzer durumu yaşayan insanlara ilham olmak için hikayesini anlatmaya karar verdi.

Devamını Oku

Sosyal medya fenomeni Apollonia Llewellyn cesur paylaşımıyla gündem yarattı! Pantolonunu kalçasından indirip poz verdi

15-10-2022 11:26

Sosyal medyada takipçileri tarafından ‘Barbi’ lakabıyla tanınan Apollonia Llewellyn Instagram hesabından cesur paylaşımlarına bir yenisini daha ekleyerek popüler olmayı başardı. Sosyal medyada yarım milyonu aşkın bir takipçi kitlesi bulunan Apollonia Llewellyn Instagram’ın sınırlarını zorlayan bir paylaşım yaparak takipçilerinden tam not aldı.

Devamını Oku

Beden pozitifliğini savunan sosyal medya fenomeni Karina Irby karın sarkmasını sergiledi! Bikinili paylaşımına destek yağdı

15-10-2022 10:43

Sosyal medyada beden pozitifliği ve vücut olumlamasına yönelik paylaşımlar yaparak dikkatleri üzerine geçen Karina Irby, bu kez de sarkık karnını büyük bir cesaretle gösterdi. Doğal güzelliğini benimsemek ve başkalarına da aynı şeyi yapmaları için ilham vermek amacıyla sosyal medyadan paylaşım yapan fenomen isme destek yorumları adeta yağdı.

Devamını Oku

Gözünde unuttuğu kontakt lensler dehşeti yaşattı! 23 tane çıkınca doktor bile inanamadı

15-10-2022 10:19

Amerika Birleşik Devletleri’nin Kaliforniya eyaletinde gözünde kaşınma ve görme bozukluğu şikayetiyle göz doktoruna gelen bir kadının videosu şaşkınlık yarattı. Doktor hastanın gözünden tam olarak 23 tane kontakt lens çıkarttı. Sosyal medyada paylaşılan şoke edici görüntüler milyonlarca izlenmeye ulaştı.

Devamını Oku

Aradığı aşkı yapay zekalı şişme bebekte buldu! “10 yıllık bekarlığımın çözümü oldu”

15-10-2022 09:48

Amerika Birleşik Devletlerinin Kuzey Karolina bölgesinde bir benzinlikte çalışan Alexander Stokes isimli adam 10 yıllık bekarlığına bir son vermek isteyerek Mimi adını verdiği şişme bir bebek satın aldı. Şişme bebeğine ilk görüşte aşık olduğunu dile getiren Stokes, romantik ilişkileri hakkında ilginç açıklamalarda bulundu.

Devamını Oku

Playboy modeli Francia James bikinili paylaşımıyla sosyal medyada olay yarattı! Beğeni butonu çöktü

15-10-2022 09:24

Yetişkinlere özel olarak hazırlanan bir sosyal medya uygulaması üzerinde abonelerine seksi fotoğraf ve videolarını satarak kısa sürede popülerleşen playboy modeli Francia James sosyal medya tabularını alt üst etti. Sosyal medya hesabında sık sık cesur paylaşımlarına yer veren James, beyaz bikini takımıyla hayranlarının nefeslerini kesti.

Devamını Oku

Kürtaj talebi reddedilen kadın, yapışık ikizlerini doğuracak! “Ölmekten korkuyorum”

15-10-2022 09:01

Brezilya’da yaşayan Lorisete dos Santos isimli bir kadın mahkemeye hayatını kurtarmak için bir kürtaj için dilekçe verdi. Doktorların yaptığı testler sonucunda bebeklerin birbirlerine yapışık olduğunun ortaya çıkması üzerine kürtaj talebiyle mahkemeye başvuran kadının isteği reddedildi. Mahkeme yapışık ikizlerin doğu başarılı bir şekilde ayrılma ihtimalini göstererek kürtaj talebini reddetti.

Devamını Oku

Afganistan’da korkunç olay! Taşlanarak infaz edilmesine karar verilen kadın idamdan bir gün önce ölü bulundu

15-10-2022 08:23

24 yaşındaki bir kadın, geçtiğimiz hafta Taliban’ın kendisini Afganistan'da ailesinden olmayan bir adamla dışarıda yakalamasının ardından taşlanarak ölüme mahkum edildi. Yerel basında çıkan haberlere göre, ölüm cezasını bekleyen kadın infazın bir gece öncesinde ölü bulundu.

Devamını Oku

3036 yılından geldiğini söyleyen zaman yolcusunun kehanetleri tüyler ürpertti! “Bunlar iyi günleriniz”

15-10-2022 07:54

TikTok’ta “ᄂIVΣ YӨЦЯ ᄂIΣ” kullanıcı adıyla paylaşım yapan bir kişi 3036 yılından günümüze insanlığı uyarmak için geldiğini söyledi. Gelecekteki yaşama dair tüyler ürpertici yorumlarda bulunan zaman yolcusu, bin yıldan fazla bir süre içinde dünyanın nasıl görünebileceği konusunda korkunç açıklamalar yaptı.

Devamını Oku

Bu kadarı pes dedirtti! Beden eğitimi öğretmeni 17 yaşındaki öğrencisiyle arabanın içinde 8 kez cinsel ilişkiye girdiğini itiraf etti

15-10-2022 07:31

Amerika Birleşik Devletleri’nin Ohio eyaletinde bir okulda beden öğretmeni olarak çalışan 31 yaşındaki Ashley Rison, ismi açıklanmayan 17 yaşındaki bir öğrencisiyle aralarında yakınlaşma olduğunu dile getirdi. Öğrencisiyle arabanın içinde 8 kez cinsel birliktelik yaşadığını itiraf eden öğretmen 16 Kasım’da hakim karşısına çıkartılacak.

Devamını Oku

TV yayın akışı 15 Ekim 2022 Cumartesi! Bugün kanallarda ne var? Show TV, TV8, Kanal D, Star TV, FOX TV, ATV yayın akışı...

15-10-2022 07:10

15 Ekim 2022 Cumartesi günü kanallarda hangi dizilerin, filmlerin ve yarışma programlarının olacağı televizyon seyircileri tarafından merakla araştırılıyor. 15 Ekim 2022 Cumartesi akşamı Güldür Güldür Show, Şarkılar Bizi Söyler, Kardeşlerim, Gecenin Ucunda, Yasak Elma, MasterChef Türkiye ve Gönül Dağı programları kıyasıya rekabet edecek. Peki, Show TV, Kanal D, TV8, FOX TV, ATV, STAR TV, TRT 1, TV8 yayın akışı nasıl?

Devamını Oku

Barış Akarsu’nın hayatını anlatan “Barış Akarsu Merhaba” filminin afişini sevenleri seçti! Vizyon tarihine geri sayım başladı

14-10-2022 16:01

2007 yılında Muğla’da geçirdiği trafik kazasıyla hayatını kaybeden ünlü sanatçı Barış Akarsu’nun hayatını konu alan 'Barış Akarsu Merhaba' filmi, 18 Kasım’da vizyona girecek. Filmin afişini ise Akarsu’nun hayranları belirledi.

Devamını Oku

Yetişkin yıldızdan şoke eden açıklama! “Babam kariyerimi destekliyor ve inşaatçı arkadaşlarına beni gösteriyor”

14-10-2022 15:51

İngiltere’nin Essex şehrinde yaşayan 22 yaşındaki Chloe Sheldrake isimli bir kadın çocukluğundan beri en büyük hayalinin mankenlik olduğunu söyledi. Sosyal medyada seksi fotoğraf ve videolarını sattığı bir platform sayesinde kısa sürede ünlenen Sheldrake en büyük hayaline ulaştı. Ailesinin her daim kendisine destek olduğunu dile getiren Sheldrake açıklamalarıyla şaşırttı.

Devamını Oku

Dünyaca ünlü Van Gogh’un ‘Ayçiçekleri’ tablosuna domates çorbalı saldırı! Bir anda döküp kendilerini duvara yapıştırdılar

14-10-2022 15:27

Bir grup iklim aktivisti dünya basınında geniş yankı uyandıran bir protestoya imza attı. İklim değişikliği protestocuları Londra’daki Ulusal Galeri’de sergilenen Vincent Van Gogh'un “Ayçiçekleri” tablosunun üzerine domates çorbası attı. Tablonun domates çorbasıyla kaplanmasından sonra protestocular kendilerini duvara yapıştırarak tepkilerini gösterdi.

Devamını Oku

Yetişkin film yıldızı Mia Malkova sosyal medya paylaşımıyla sınırları yerle bir etti! Tamamen iç çamaşırsız pozu olay oldu

14-10-2022 14:54

Dünyaca ünlü yetişkin film yıldızı Mia Malkova sosyal medyadan yaptığı cesur paylaşımlarına bir yenisini daha ekleyerek hayranlarından tam not aldı. Sosyal medya hesaplarını aktif bir şekilde kullanan Malkova yaklaşık 11.1 milyonluk geniş bir takipçi kitlesine sahip. Hayranlarıyla etkileşime geçmeyi seven güzel isim son olarak tamamen iç çamaşırlarından vazgeçerek siyah etek bluz takımıyla dikkatleri çekti.

Devamını Oku

Milyonlarca izlenmeye ulaştı! Zurna çalarken yanaklarını şişiren adam sosyal medyada popüler oldu

14-10-2022 14:23

TikTok’ta paylaşılan bir görüntü kısa sürede milyonlarca izlenmeye ulaşmayı başardı. ‘Geennty’ kullanıcı adıyla paylaşım yapan bir kişinin hesabındaki zurna çalan adamın görüntüleri ilgi çekmeyi başardı. Zurna çalarken yanaklarını normalin dışında daha büyük bir boyuta getiren adam yorum ve beğeni yağmuruna tutuldu.

Devamını Oku

Tek tek iğneyle kazıdı! Hukuk öğrencisinin kopya düzeneğini gören şaştı kaldı... Hocası bile tebrik etti

14-10-2022 14:01

İspanya’da ismi açıklanmayan bir hukuk öğrencisi sınava kendi yaptığı bir kopya düzeneğiyle girdi. Bir ceza hukuku öğrencisi final sınavında kopya çekerken yakalandı. Ancak öğrencinin kopya çekmek için kullandığı yöntem ve gösterdiği çaba herkesi şaşırtmaya yetti. Öğrencisinin kopya düzeneğini paylaşan profesör onu tebrik etmeyi ihmal etmedi.

Devamını Oku

Eski yetişkin film yıldızı Mia Khalifa sosyal medyayı salladı! İç çamaşırı giymeyince cesur paylaşımına beğeni yağdı

14-10-2022 13:34

Bir başörtüsü takarak çektiği filmle yetişkin sektörüne adım atan Mia Khalifa, geçtiğimiz yıllarda emekliliğe ayrıldığını açıklamıştı. Dünyanın pek çok noktasından milyonlarca takipçisi bulunan Khalifa sosyal medyada hayranlarıyla etkileşime devam etti. Birleşik Krallığa olan sevgilisiyle tanınan Lübnan asıllı fenomen isim İngiltere sokaklarında çekilen cesur bir fotoğrafını paylaşarak yeniden gündem oldu.

Devamını Oku

İngiltere tarihinin en gizemli olaylarından biri! ‘Kuledeki Prensler’ olayı için Kral Charles inceleme izni verdi

14-10-2022 13:08

İngiltere tarihinin en gizemli olaylarından biri olarak kabul edilen ‘Kuledeki Prensler’ (Princes in the Tower) olayı yeniden gündeme geldi. İngiltere Kraliçesi 2. Elizabeth’in vefatından sonra tahta geçen Kral 3. Charles, olayın çözülmesi için bulunan kemiklere DNA testi yaptırılmasına izin verdi. İngiltere tarihinin en uzun süre tahta kalan monarkı olan Kraliçe 2. Elizabeth saltanatı süresince bu olayın araştırılmasına izin vermemişti.

Devamını Oku

Sinemaseverler bu hafta filme doyacak! 8 film birden vizyona girdi (14 Ekim 2022)

14-10-2022 11:42

Türkiye'deki sinema salonlarında bu hafta 2’si yerli 8 film sinemaseverlerle buluştu. Sinemaseverlerin büyük bir merakla beklediği yapımların yanında gişede üst sıralarda yer alacağı düşünülen filmlerin kıyasıya rekabeti başladı.

Devamını Oku

Erkek arkadaşını ihanetini hastalık ele verdi! “Bana bulaştırınca beni aldattığını anladım”

14-10-2022 11:22

Amerika Birleşik Devletleri’nin Arkansas eyaletinde yaşayan 19 yaşındaki Tori McFarlin isimli bir kadın kimliğini açıklamak istemediği erkek arkadaşının ihanetiyle yüzleşme sürecinden bahsedince sosyal medyada gündem oldu. Erkek arkadaşıyla cinsel ilişkiye girdikten sonra idrar yolu enfeksiyonu olduğunu öğrenen McFarlin adım adım ihaneti ortaya çıkarttı.

Devamını Oku

Bekaret açıklaması sosyal medyada gündem oldu! “35 yaşındayım evlenmeden önce seks yapmayacağım”

14-10-2022 10:42

Hint asıllı Amerikalı model Sonali Chandra’nın bekaret açıklaması sosyal medyanın gündemine yerleşti. Özel hayatında seçici bir kişi olduğunu dile getiren Chandra, manevi konulara önem verdiğini söyledi. İkili ilişkilerin kendisini için kimi zaman zorlayıcı olduğundan söz eden Chandra, “Özel birini bekliyorum. 35 yaşındayım evlenmeden önce seks yapmayacağım” dedi.

Devamını Oku

Uçuş sırasında köpeğini kucağından indirmesini istediler! Çılgına döndü... Küfürler savurup su şişesi fırlattı

14-10-2022 10:16

Atlanta’dan New York’a hareket eden bir uçakta yaşanan ilginç anlar sosyal medyanın gündemine oturduç Bir başka yolcu tarafından çekilen görüntülerde ismi açıklanmayan bir kadın uçuş görevlisinin köpeğini kucağından indirmesini söylemesi üzerine çılgına döndü. Koltuğundan ayağa kalkan kadın küfürler yağdırmaya başladı. Hızını alamayan yolcu personele su şişesi fırlattı.

Devamını Oku

Başkalarını cinselliğe teşvik etmek için ülke ülke geziyorlar! “Çokeşliliği yaymak istiyoruz”

14-10-2022 09:44

37 yaşındaki Cate Wander ve 47 yaşındaki kocası Darren yaklaşık 15 yıldır birlikte. İlişkilerinin başında geleneksel bir şekilde yola çıkan ikili evliliklerinin 5. yılında ise çok eşli bir sisteme geçiş yapmak istedi. Açık ilişkilerinin kendilerini değiştirdiğini söyleyen çift şimdi diğer kişilere ilham olmak için dünya turuna çıktı. Cinselliği teşvik etmek isteyen çift ülke ülke gezerek, “Çokeşliliği yaymak istiyoruz” dedi.

Devamını Oku

Günlerce bodrum katında mahsur kaldı, işkence gördü! Kaçıp komşulardan yardım istedi

14-10-2022 08:54

Amerika Birleşik Devletleri’nin Missouri eyaletinde 39 yaşındaki Timothy M. Haslett isimli bir adam ismi açıklanmayan 22 yaşındaki bir kadını kaçırma suçundan yakalandı. 22 yaşındaki kadın sokak ortasında yürürken hiç tanımadığı bir adam tarafından kaçırıldığını ve evinin bodrumuna hapsedildiğini söyledi. Kadın, amacına uygun olarak inşa edilmiş rehine bodrumunda tutulduğunu ve defalarca kırbaçlanarak tecavüze uğradığını iddia etti.

Devamını Oku

Tam 21 tabak yemek yediler! Hesabı ödememek için sütyeninden çıkarttığı plastiği tabağın içine attı

14-10-2022 08:25

İngiltere’nin Milton Keynes bölgesinde yaşanan bir olay sosyal medyanın gündemine oturdu. 5 kişilik aile lüks bir restorana gitti ve ana yemek, ara sıcak ve başlangıç olmak üzere çeşit çeşit yemekler sipariş etti. 21 tabak yemeğin sonuna gelen aile toplam 170 sterlinlik (yaklaşık 3 bin 574 TL) hesabı ödememek için ilginç bir yönteme başvurdu.

Devamını Oku

2671 yılından geldiğini söyledi! Gelecekten gelen zaman yolcusunun kehanetleri tüyler ürpetti... “Çok yakında geliyorlar”

14-10-2022 08:00

Sosyal medyada zaman yolcusu olarak paylaşım yapan Eno Alric isimli bir adam 2671 yılında günümüze insanlığı uyarmak için geldiğini ifade ederek herkesin ilgisini çekmeyi başardı. İnsanlığın geleceğini değiştirecek çılgın olayların yakın zamanda gerçekleşeceğini söyleyen Alric bu yıl ve önümüzdeki yıl için önemli tarihler verdi.

Devamını Oku

Okyanusun Kraliçesi olarak adlandırılıyordu! Tam 250 kilogram ağırlığında ve 5 metre uzunluğunda

14-10-2022 07:30

Dünyanın dört bir yanındaki köpekbalıklarını etiketleyen ve izleyen Ocearch'teki bir ekip kuzey Atlantik’te tam 250 kilogram ağırlığında ve 5 metre uzunluğunda bir köpekbalığı yakaladı. Ekibin lideri olan keşif aşamalarını yöneten Chris Fisher köpekbalığına ‘Okyanusun Kraliçesi’ adını verdi.

Devamını Oku

TV yayın akışı 14 Ekim 2022 Cuma! Bugün kanallarda ne var? Show TV, TV8, Kanal D, Star TV, FOX TV, ATV, TRT 1 yayın akışı...

14-10-2022 07:08

14 Ekim 2022 Cuma günü kanallarda hangi dizilerin, filmlerin ve yarışma programlarının olacağı televizyon seyircileri tarafından merakla araştırılıyor. 14 Ekim 2022 Cuma akşamı Güldür Güldür Show, Arka Sokaklar, İyilik, Kasaba Doktoru, Yalnız Kurt, Yalı Çapkını ve MasterChef Türkiye programları kıyasıya rekabet edecek. Peki, Show TV, Kanal D, TV8, FOX TV, ATV, STAR TV, TRT 1 yayın akışı nasıl?

Devamını Oku

Yerli komedi rüzgarı! Şarkısıyla gündem olan “Müjdemi İsterim” filminin afişi yayınlandı... Vizyon tarihi kesinleşti

12-10-2022 17:43

Başrollerini Ahmet Kural, Ecem Erkek, Mehmet Özgür ve İlker Aksum’un paylaştığı yerli komedi “Müdemi İsterim” filminin afişi paylaşıldı. Filmin vizyon tarihi ise 18 Kasım 2022 olarak açıklandı.

Devamını Oku

Yerli komedi sevenlere müjde! “Müstakbel Damat” filmi vizyona girmek için gün sayıyor

12-10-2022 17:30

Başrollerini İlker Ayrık, Erdal Özyağcılar ve Hande Soral'ın üstlendiği "Müstakbel Damat" adlı film, 11 Kasım'da sinemaseverlerle buluşacak. Çekimleri 3 yıl öncesinde tamamlanan yerli komedi filmi vizyona girmek için gün sayıyor.

Devamını Oku

Her satırı korkunç! İki kadın öldürüldü, doğrandı, pişirildi ve cesedin parçaları yemek yapılıp yenildi

12-10-2022 17:19

Hindistan’da polis memurları, çifte cinayet iddiasıyla üç kişiyi tutukladı. Cinayetin detayları ise kan dondurdu. Kurbanların ailelerinin bir çukurdan çıkartılan ceset parçalarını teşhis etmeye zorlanması ülkede infial yarattı.

Devamını Oku

Havalimanında gördüğü yakışıklı bir adama üzerinde cep telefonu numarası yazılı peçete uzattı! Adam öyle bir şey yaptı ki...

12-10-2022 16:55

TikTok’ta Sarah Vilard kullanıcı adıyla paylaşım yapan bir kadın başına gelen ilginç bir olayla sosyal medyanın gündemine yerleşti. Havalimanında uçuş saatini bekleyen Vilard, bir köşede oturup kendi halinde takılan yakışıklı bir adamı fark etti. Yanına yaklaşarak elinde cep telefonu numarası yazılı olan bir peçete uzatan kadın adamın tepkisiyle adeta şoke oldu.

Devamını Oku

Dövme modeli Amber Luke paylaşımıyla şaşkınlık yarattı! Dövmelerini göstermek için çırılçıplak soyundu

12-10-2022 16:28

Sosyal medyada dövme modeli olarak kısa sürede ünlenen Amber Luke, vücudunun %98’ini dövmelerle kaplatan bambaşka bir kişiye dönüştü. Değişimi için servet harcadığını dile getiren Luke, Instagram hesabından tamamen çıplak bir fotoğrafını paylaştı. Dövmelerinin özgüvenini yükselttiğini dile getiren Luke, takipçilerine mürekkeplerini göstermek için cesur bir paylaşıma imza atmaktan çekinmedi.

Devamını Oku

Dumanlar arasında kalktı! Kargo uçağında yaşanan kaza panik yarattı... Kalkış esnasında tekerleği koptu

12-10-2022 15:55

İtalya’nın Taranto kentindeki bir uçak pistinin yakınlarından çekilen görüntüler sosyal medyanın gündemine oturdu. Kalkış için hazırlanan bir kargo uçağı pistte bir süre hareket ettikten sonra havalandı. Ancak havalandığı esnada kargo uçağının bir tekerleği koptu ve uçak dumanlar arasında kaldı.

Devamını Oku

Ölüp yeniden dirilen adamın sözleri sosyal medyada gündem oldu! “90 dakikalığına ölüydüm ve gördüklerime inanamadım”

12-10-2022 15:31

Avustralya’nın Victoria bölgesinde bir sahil evinde yaşayan 61 yaşındaki Alistair Blake, sabahın erken saatlerinde karısı Melinda’nın yanında uyurken aniden kalp krizi geçirdi. 90 dakika boyunca kalbi duran adam, sağlık görevlilerinin onu hayata döndürmeye çalıştığı anlarda yaşadıklarını anlatarak şaşkınlık yarattı.

Devamını Oku

Yetişkin film yıldızı Candice Kloss’un itirafı sosyal medyayı salladı! “Zeki olmak çok zor”

12-10-2022 13:55

Yetişkin film yıldızı Candice Kloss sosyal medyadan yaptığı açıklamalarla dikkatleri üzerine çekmeyi başardı. Yetişkinlere özel olarak hazırlanan ve abonelik sistemiyle ilerleyen bir sosyal medya uygulamasında seksi fotoğraf ve videolarını satan Kloss, yüksek IQ'sunun insanlarla iletişim kurmayı zorlaştırabileceğini itiraf etti. Çok zeki olduğu için kimi sohbetlerden sıkıldığını söyleyen Kloss, sosyal medyanın tepkisini çekti.

Devamını Oku

Bakıcı dehşeti! 5 yaşındaki çocuğun önce ıslattı, sonrasında sopayla öldüresiye dövdü

12-10-2022 13:35

Amerika Birleşik Devletleri’nin Nevada şehrinde 23 yaşındaki Lauren Jeanette Courtney isimli bebek bakıcısı dehşeti yaşattı. Baktığı 5 yaşındaki çocuğu önce ıslatan ardından sopayla öldüresiye döven kadın tutuklandı. Mahkemeye çıkartılan kadının ömür boyu hapis cezasıyla karşı karşıya olduğu belirtildi.

Devamını Oku

Ünlülerin astroloğu Kassandra yeni kehanetleriyle korkuttu! “Yerin altı fokurduyor” dedi... O tarihe dikkat çekti

12-10-2022 13:05

Baba Vanga ve Nostradamus dünyaca ünlü kahinler olarak tarihe geçmişti. Ünlülerin astroloğu olarak bilinen Kassandra’nın kehanetleri gündeme gelmeye başladı. Türkiye’deki orman yangınları, dünyada gerçekleşen depremlere dair öngürüleri tutan gizemli kahin son olarak Kurtlar Vadisi'nde İplikçi Nedim karakterine hayat veren İsmail İncekara'nın ölümünü bilmişti. Önümüzdeki günlerde insanlığı daha büyük felaketlerin beklediğini ifade eden Kassandra 25 Ekim’deki Güneş tutulmasına dikkat çekti.

Devamını Oku

2020 Kainat Güzeli Maria Thattil, cinsel yönelimini açıklayarak gündem oldu! “Yeni cinsel hayatım...”

12-10-2022 11:41

2020 yılında düzenlenen güzellik yarışmasında Kainat Güzeli seçildikten sonra sosyal medya hesaplarını aktif bir şekilde kullanan Maria Thattil kısa sürede geniş bir hayran kitlesine ulaştı. Yıllarca cinsel yönelimini saklamak zorunda kaldığını dile getiren Thattil, biseksüel olduğunu itiraf ettikten sonra yeni cinsel hayatı hakkında samimi açıklamalar yaptı.

Devamını Oku

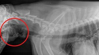
Hasta köpeğin röntgeninden çıkan sonuç herkesi şaşkına çevirdi! “Ölüyor zannettim”

12-10-2022 11:13

13 yaşındaki Jip isimli bir köpek gece geç saatlerde nefes alma konusunda zorluk yaşamaya ve boğulma belirtileri göstermeye başlayınca sahibini korkuttu. Sahibi Jip’i veterinere götürdüğünde ise sağlık görevlileri köpeğin nefes borusuna sıkışan bir çift çorap fark etti.

Devamını Oku

Aynı elbiseyi Kendall Jenner giymişti! Sosyal medya fenomeni Aoife Grace’in dekolteli kıyafeti gündem oldu

12-10-2022 10:57

Sosyal medya fenomeni Aoife Grace, daha öncesinde ünlü isim Kendall Jenner tarafından giyilen dekolteli siyah bir elbiseyle takipçilerinin karşısına çıktı. TikTok’ta 37 bin takipçi bulunan Grace’in dekolteli kıyafeti görenleri şaşkına çevirdi.

Devamını Oku