KADIN

Kapat

Diş taşlarına doğal yöntemlerle elvada! Paranız cebinizde kalacak...

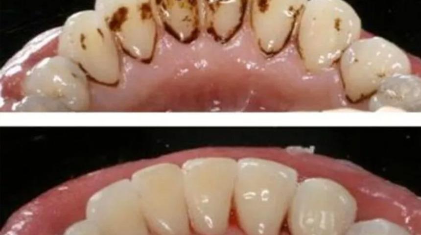
Diş tartarı maalesef en büyük sorunlarımızdan biri! Hepimiz sağlıklı ve güzel görünen dişlere sahip olmak istiyoruz ama tartar buna engel oluyor. Evinizde uygulayacağınız birkaç pratik yöntem ile tartar sorununa bir son verebilirsiniz. Ceviz kabuğu en etkili yollardan biri! Karbonat, çilek ve domates gibi hiç aklınıza gelmeyen malzemelerle bembeyaz dişlere sahip olabilirsiniz.

 Diş taşlarına doğal yöntemlerle elvada! Paranız cebinizde kalacak...

Dişlerinize tutunan yapışkan ve yumuşak bakteri tabakası diş plağını oluşturur. Tükürüğümüzdeki mineraller ile birlikte bu plak sertleşir ve tartar tabakasına dönüşür. Diş taşı olarak da bilinen diş tartarı; dişlerdeki yemek kalıntıları, bakteriler, diş fırçalamama ve genetik sebeplerden kaynaklanır. Peki, diş tartarı nasıl temizlenir? İşte sizi diş tartarından kurtaracak doğal çözümler…

CEVİZ KABUĞU

l 1 kase ceviz kabuğu
l 1 bardak su
Suyu ve ceviz kabuklarını bir tencereye koyun. 15 dakika boyunca kaynattıktan sonra soğumaya bırakın. Sonrasında diş fırçanız yardımıyla bu suyu dişinize sürün. Bu işlemi günde bir defa olacak şekilde 20 gün devam uygulayın. Diş tartarı sorununuz ortadan kalkacaktır.

KARBONAT

l Yarım çay bardağı su
l Birkaç damla limon
l 1 çorba kaşığı karbonat

Bütün malzemeleri bir kabın içinde karıştırın. Sonrasında diş fırçanızla dişlerinizi bu karışımla nazikçe fırçalayın. Bu işlemi günde bir defa olacak şekilde bir hafta uygulayabilirsiniz. Karbonat antibakteriyel olduğu için dişinizde oluşan tartarı yok eder.

ÇİLEK VE DOMATES

l Bir adet domates
l Bir adet çilek
l Malzemeleri mutfak robotunda püre haline getirin. Ardından diş fırçanızla tartarlı bölgeyi fırçalayın.

MyMani

Öne Çıkan İhtiyaç Kredileri

Tümü

0% Faizli Fırsat!

GARANTİ BBVA - %0 FAİZLİ 100.000 TL

Faiz Oranı

%0

Vade

3 Ay

Toplam Tutar

100.000 TL

Detayları gör

0% Faizli Fırsat!

DENİZBANK - %0 FAİZLİ 100.000 TL

Faiz Oranı

%0

Vade

3 Ay

Toplam Tutar

100.000 TL

Detayları gör

Avantajlı Fırsat

AKBANK %0,99 FAİZLİ 100.000 TL

Faiz Oranı

%0,99

Vade

12 Ay

Toplam Tutar

100.000 TL

Detayları gör

0% Faizli Fırsat!

İŞ BANKASI - %0 FAİZLİ 55.000 TL

Faiz Oranı

%0

Vade

3 Ay

Toplam Tutar

55.000 TL

Detayları gör

PORTAKAL KABUĞU

l Bir adet portakal
Portakalın kabuklarını blenderda püre haline getirin. Dişinizi bu püre ile fırçalayın ve su ile çalkalayın.

SUSAM

l Bir çorba kaşığı susam
Bir kaşık susamı ağzınıza alın ve yutmadan çiğneyin. Püre haline gelince diş fırçanız ve susamlarla dişlerinize peeling yapın.

LİMON SUYU

l Bir tatlı kaşığı limon suyu
Limon asidik yapıda olduğu için mikropları öldürür. Plak ve tartar savaşında da oldukça başarılıdır. Dişinizi fırçaladıktan sonra diş fırçanızı limon suyuna batırarak dişlerinizi ovun. Bir dakika bekleyin ve su ile ağzınızı çalkalayın.

BİBERİYE

l 2 – 3 damla biberiye yağı
l Bir yemek kaşığı su veya zeytinyağı
Biberiye esans yağını su veya zeytinyağı ile karıştırarak ağzınızda 10 dakika boyunca çalkalayın. Sonra normal bir şekilde dişinizi fırçalayın. Yutmayın ve gargara yapmayın.

ALOE VERA

l Bir tatlı kaşığı aloe vera jeli
l 10 damla limon yağı
l 4 – 5 yemek kaşığı karbonat
l 4 tatlı kaşığı bitkisel gliserin
l 1 su bardağı su

Aloe vera bitkisinin yaprağını ikiye kesin ve içindeki jeli çıkarın. Bütün malzemeleri karıştırarak pürüzsüz kıvamda bir macun elde edin. Dişlerinizi bu karışımla ovun. Ardından su ile çalkalayın.

YORUMLARI GÖR ( 0 )

En Çok Aranan Haberler

Kapat