0% Faizli Fırsat!
Faiz Oranı
%0
Vade
3 Ay
Kredi Tutarı
100.000 TL
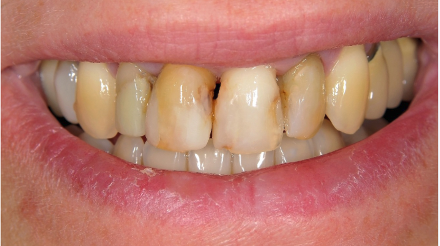
Estetik Diş Hekimi Efe Kaya, 'hastalar dişlerinin önemini diş kaybı yaşadıklarında anlarlar. Beyazlatma jeli dişin sadece en dış tabakasına yani mineye uygulanır. FDI tarafından onaylanmış, içindeki beyazlatıcı ajanlar dişlere zarar vermeyecek oranda olan beyazlatma jelleri dişlere zarar vermez. Hiçbir denetim olmadan satılan beyazlatma tozları ve jellerini kullandığınızda diş organına zarar verebilirsiniz” dedi.
Dr. Kaya, doktor kontrolünde olmayan beyazlatmanın tehlikeli yönlerini ise şöyle sıraladı:
“Dişinizi nekroz edebilir: Dişlerin koruma tabakasını aşan beyazlatıcı ajan, dişin öz tabakasına ilerleyip dişi nekroz edebilir. Nekroz (canlılığını yitiren) olan diş renk değiştirir ve ağız içerisinde enfeksiyon başlatır.
Yumuşak dokulara zarar verebilir: Hekimler beyazlatma yaparken ağız içi yumuşak dokuları koruma altına alırlar. Diş eti, yanak, dudak gibi alanlar beyazlatma yapılırken korunur. Korunmadığı takdirde bu bölgelerde yanıklar meydana gelir.

Dişlerde erozyona sebep olabilir: Erozyon diş dokularının geri dönüşümsüz kaybıdır. İçerisinde ne olduğu bilinmeyen aşındırıcı maddeler dişlerin mine seviyesinde geri dönüşümsüz olarak kaybına yol açar.
Alerjik reaksiyonlara yol açabilir: Alerji her zaman masum bir tablo değildir. Bazı durumlarda ölüme bile yol açabilir. Ağız bölgesi damarlanma açısından çok zengin bir bölgedir. Ağzı içerisine uygulanan bir alerjen çok hızlı bir şekilde vücuda yayılabilir. Bazı durumlarda hasar kendini çok sonra gösterebilir. Bu durumda zararsız olduğu kanısına varılabilir.
Oysa beyazlatma çok ciddi klinik prosedür gerektiren bir işlemdir. Dişlerinize kalıcı hasarlar vermek istemiyorsanız doktor önerisi dışında beyazlatma yaptırmamalısınız. Daha beyaz bir gülüşe sahip olmak isterken dişsiz kalabilirsiniz.”
(İHA)