KADIN

Kapat

Kemiğin paget hastalığı

Merhaba sevgili okurlarım. Bu hafta sizlere birçok insanın yaşadığı, mikrobik olmayan “Biçim bozucu kemik iltihabı” anlamına gelen, Kemiğin Paget Hastalığı hakkında bilgiler aktarmak istiyorum. Paget hastalığı bir diğer adıyla biçim bozucu kemik iltihabı, kemiklerin kronik bölgesel hastalığıdır. İleri yaş grubunda kemik erimesinden sonra en çok görülen hastalık olması nedeniyle önem arz eder.

Kemiğin paget hastalığı

Paget hastalığı bir diğer adıyla biçim bozucu kemik iltihabı, kemiklerin kronik bölgesel hastalığıdır. İleri yaş grubunda kemik erimesinden sonra en çok görülen hastalık olması nedeniyle önem arz eder.

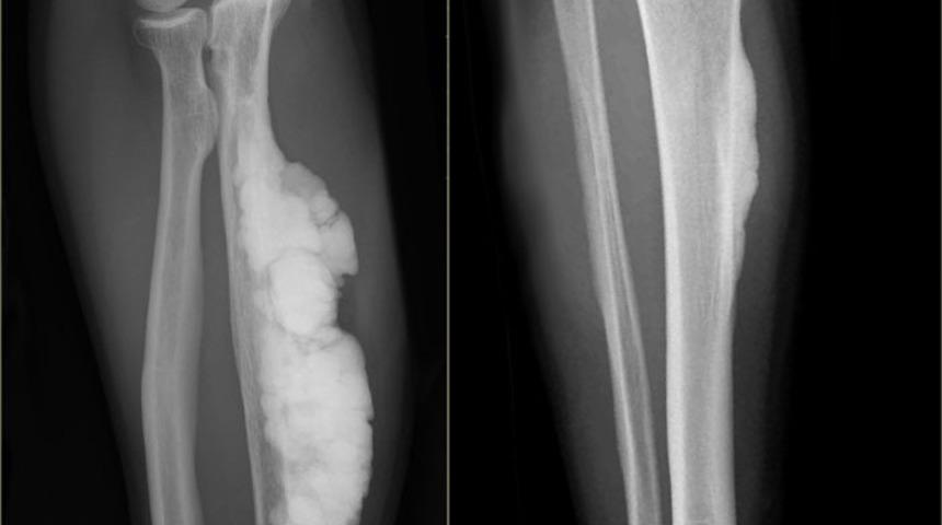
Röntgen Testleri İle Ortaya Çıkıyor

Kemiğin Paget Hastalığı’nın gözle görülür bir belirtisi yoktur. Hastalarda genellikle 40 yaşından sonra yapılan sağlık taramaları ve röntgen testleri ile birlikte ortaya çıkabilir ve en sık rastlanan belirtisi kemik ağrısıdır. Yapı olarak bozuk iskelet dokusu gelişir ve bu da kırık riskinde artışla birlikte kemikte şekil bozukluğuna neden olur.

İskelette her bölgede tutulum olabilme ihtimaliyle birlikte; leğen kemiği, omurga, kafatası ve ağırlık taşıyan kemikler daha sık etkilenir. Kafatasının tutulması, baş ağrısı, duyma kaybı, çınlama veya baş dönmesine neden olabilir.

İngiltere, Fransa ve Almanya’da Sık Yaşanıyor

Paget hastalığının yaşanma oranı coğ­rafi bölgelere göre değişiklik göstermektedir. Ülkeden bölgeye mühim farklılıklar ortaya çıkabi­lmektedir.

Bu hastalık İngiltere, Fransa ve Almanya toplumunda, İs­kandinav ülkelerine göre daha yaygın yaşanmaktadır. Japonya, Hindistan, Afrika ve Orta Doğu ülkelerinde paget hastalığı çok daha az görülmektedir. ABD’nin güney ve kuzey kesimleri arasında hastalığın görülme oranı açısından farklılıkların mevcut olduğunu bilmekteyiz. Bölgede siyahiler ile beyazlar hastalığa eşit oranda yakalanmaktadırlar.

MyMani

Öne Çıkan İhtiyaç Kredileri

Tümü

0% Faizli Fırsat!

GARANTİ BBVA - %0 FAİZLİ 100.000 TL

Faiz Oranı

%0

Vade

3 Ay

Toplam Tutar

100.000 TL

Detayları gör

0% Faizli Fırsat!

DENİZBANK - %0 FAİZLİ 100.000 TL

Faiz Oranı

%0

Vade

3 Ay

Toplam Tutar

100.000 TL

Detayları gör

İhtiyaç Kredisi

İhtiyaç Kredisi

Faiz Oranı

%3,59

Vade

0 Ay

Toplam Tutar

66.430 TL

Detayları gör

0% Faizli Fırsat!

İŞ BANKASI - %0 FAİZLİ 55.000 TL

Faiz Oranı

%0

Vade

3 Ay

Toplam Tutar

55.000 TL

Detayları gör

Genetik Faktörlere Bağlı Gelişebilir

Paget hastalığının kesin olarak nedeni bilinmemektedir. Hastalarda ilerleyen yaşlarda, kemik yoğunluğunda ve gelişiminde azalma yaşanmaktadır. Nedeni kesin olarak bilinmeyen paget hastalığında, kemik dokunun hasar görmesiyle yeniden kemik yapımı başlar. Yeni oluşan bu kemik dokunun yapısının biçimsiz ve kırılgan olması hastalığın oluşumuna sebep olabilir. Bazı klinik çalışmalarında hastalığın virüs kaynaklı olduğu gözlemlenmiştir. Fakat bu hastalığın çevresel ve genetik faktörlere bağlı olarak da gelişebileceği düşünülüyor. Ayrıca bağışıklık sistemi güçsüz olan kişilerin de yakalandığı bilinmektedir.

Tedavide Kalsiyum Takviyesi Şart!

Paget hastalığının tedavisinde temel araç ilaçlardır ve genellikle yaklaşık 1 yıl devam eder. Hastalar her 4-6 ayda bir serum ALP seviyesi ile izlemelidir ve ALP seviyesi daha önceki değerin %25'inin üzerine çıkarsa tedaviye tekrar başlanmalıdır.

Ciddi iskelet komplikasyonlarının gelişmesi durumunda ortopedik girişim yapılması gerekebilir. Kullanılan bazı ilaçların vücuttaki kalsiyum oranını düşürmesi nedeniyle kalsiyum takviyesinde bulunulması paget hastalığına iyi gelmektedir. Bir diğer tedavi yöntemi ise fizik tedavidir. Yürüme destekleri, omurga korseleri ve kas gücünü artıracak egzersizler gibi fizyoteratipiler ile tedavi edilebilir.

YORUMLARI GÖR ( 0 )

En Çok Aranan Haberler

Kapat