Akılalmaz olay: Boğazında durmadan çıkan saçlar doktorları bile şaşkına çevirdi! 14 yıl boyunca devam etti... Yalnızca iki kişide görüldü
Uzun yıllardır sigara içen bir adam boğazının arka kısmında siyah, tel gibi kılların çıkmasıyla hayatının şokunu yaşadı. Bu durumun ortaya çıkmasına sebep olan şey ise alışılmadık bir yan etki geliştirmesiydi.
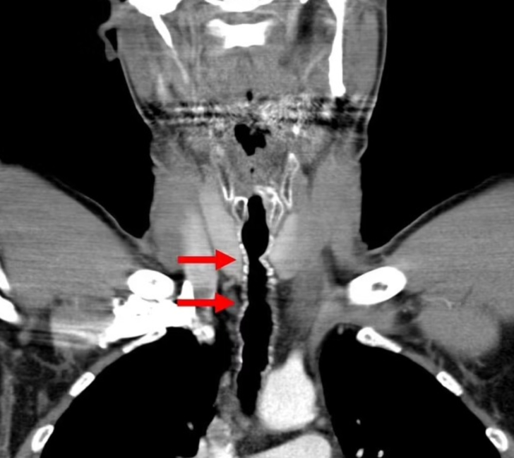
Doktorlar adı verilmeyen 52 yaşındaki bir kişinin ses kısıklığı, nefes almada zorluk ve kronik öksürük şikayetleriyle hastaneye başvurduğunu söyledi.
AKILALMAZ OLAY
The Sun'da yer alan habere göre, Avusturyalı hasta, 1990 yılında 20 yaşındayken sigara içmeye başladığını ve bir keresinde saçından bir kıl çıktığını iddia etti.
Sağlık görevlileri solunum yollarına küçük bir kamera göndererek inceleme yapmaya karar verdiler ve burada boğazında birkaç koyu renkli kıl çıktığını keşfettiler. Başlangıçta doktorlar tüyleri almayı başardılar ve bu da adama geçici bir rahatlama sağladı.
Saçların bakterilerle kaplandığı tespit edildikten sonra kendisine antibiyotik verildi. Ancak ne yazık ki saçlar sonraki 14 yıl boyunca her yıl saat gibi yeniden çıkmaya devam etti.
Talihsiz adama endotrakeal kıllanma veya boğazda kıllanma adı verilen son derece nadir bir durum teşhisi konuldu. Kesin olarak söyleyemeseler de doktorlar saç büyümesinin muhtemelen sigara içme alışkanlığından kaynaklandığına inanıyorlar.
American Journal of Case Report'ta yazan yazarlar, bu tuhaf olayın türünün yalnızca ikinci vakası olduğunu söyledi. Yine Avusturyalı bilim insanları, sigaranın boğaz iltihabını tetikleyebileceğini ve bunun da hücrelerin kıl köklerine dönüşmesine neden olabileceğini açıkladı.