0% Faizli Fırsat!
Faiz Oranı
%0
Vade
3 Ay
Kredi Tutarı
100.000 TL
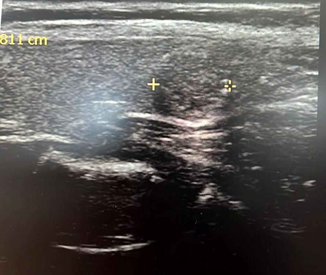
Tiroit nodülü vakalarında son yıllarda artış yaşandığı gözlenirken, uzmanlar, bu artışın en yaygın sebebinin iyot eksikliği olduğuna dikkat çekiyor. Ses kısıklığı, yutma güçlüğü ve nefes darlığı gibi belirtilerle ortaya çıkabilen nodüller, artan farkındalık ve ultrason sayesinde semptomsuz hastalarda da saptanabiliyor. Nodüllerin yüzde 10 ila 20’sinin kötü huylu olabileceğini, düzenli takip ve erken teşhisin büyük önem taşıdığı belirten uzmanlar, sigara kullanımı ve genetik yatkınlığın risk faktörleri arasında yer aldığını belirtirken, özellikle kadınlarda tiroit kanseri görülme oranının daha yüksek olduğunu vurguluyor.

Endokrinoloji ve Metabolizma Hastalıkları Uzmanı Dr. Ahmet Suat Demir, tiroit nodülü vakalarının besinlerdeki iyot eksikliğinden kaynaklandığını belirterek, “Tiroit nodüllerinin oluşumunda en sık karşılaştığımız neden iyot eksikliğinin olmasıdır. Tiroit nodülleri; iyot eksikliğinin olduğu endemik bölgelerde, toplumun yaklaşık yüzde 15’inde görülebilmektedir. Kadınlarda yaygın olmakla birlikte, çevresel ve genetik faktörler tiroit nodül riskini de artırmaktadır. Tiroit nodülleri büyüdüğünde 'bası bulgusu' ile kendini belli eder. Belirtileri ise ses kısıklığı, yutma güçlüğü, nefes darlığıdır. Boğazınıza dokunduğunuzda elinizde nodülü hissetmeniz ile de varlığını anlaşılabilir. Tiroit nodülü oluşumunda, Doğu Karadeniz Bölgesi'nde lahana tüketimi suçlanmaktadır. Fakat bunun sebebi besinlerdeki iyot eksikliğidir" dedi.

Tiroit nodülü tespitinde farkındalığın artığını ifade eden Dr. Demir, "Nodül tespitindeki farkındalığımız arttı. Tiroit ultrasonu kullanıyor olmamız da bu artışa etken oldu. 'Bası bulgusu' ile dokunarak muayene ettiğimizde; mevcut olan nodüllerin yaklaşık yüzde 20’sini tespit edebiliyoruz. Nodüllerin birçoğunun özelliklerini ve boyutlarını ise tiroit ultrasonu ile tespit ediyoruz. Son dönemlerde vakalarda artış var. Bazen hiçbir semptomu olmayan hastalarda da tiroit nodülleri tespit ediyoruz. Nodülleri özelliklerine göre değerlendirerek gerekli hastalardan biyopsi alıyoruz. İyi ya kötü huylu nodüle göre tedavi uyguluyoruz. Nodülü belli aralıklarla takip ediyoruz. Tiroit nodüllerinin yüzde 10 ila 20 kadarı kötü huylu olabiliyor. Birçok kanser türü erkek hastalarda fazla görülürken, özellikle tiroit kanseri sıklığı kadın hastalarımızda daha yüksektir. Kadın hastalar daha sık muayeneye geliyor ve farkındalıkları daha yüksek" dedi.

Tiroit kanserindeki risk faktörlerini sıralayarak önerilerde bulunan Dr. Demir, “Tiroit kanseri ve tiroit nodülü tüm yaş gruplarında görülebilmekte birlikte yaş ilerledikçe tiroit nodülü sıklığı artmaktadır. Tiroit nodüllerinde kanser gelişmesi için önemli risk faktörleri var; sigara kullanımı, radyoterapi ve radyasyon öyküsü gibi. Hastalarıma eğer sigara içiyorlarsa, sigarayı bırakmalarını öneriyorum. Çok sıkı bir diyet önermiyorum fakat özellikle kilo almamaları gerekir. Tiroit nodülleri genetik altyapısı olabilen bir hastalıktır. Çevresel faktörler de risklidir. Ailesinde tiroit kanseri olanlar, boynunda şişlik, yutma güçlüğü, nefes darlığı, ses kısıklığı şikayetleri olan hastalarımızın mutlaka tiroit nodüllerini kontrol ettirmelidir" dedi.

(DHA)